Las células del cáncer de ovario producen altos niveles de interleucin...
Las células del cáncer de ovario producen altos niveles de interleucin...
La nieta de JFK compartió su batalla contra una forma agresiva de cánc...
El cáncer de hígado sigue siendo uno de los problemas de salud global ...
#MSP: El lugar donde médicos, pacientes y profesionales de la salud pu...
La convención incluyó una amplia oferta académica dirigida a necesidad...
#MSP: El lugar donde médicos, pacientes y profesionales de la salud pu...
La ausencia inicial de dolor es engañosa. Hace que tanto pacientes como médicos subestimen el problema.
Experta destaca durante convención de AHOMPR los progresos en el manejo de enfermedades hematológicas y la importancia del abordaje multidisciplinario para mejorar la calidad de vida de los pacientes.
54ta convención anual bajo el lema "Beyond the Boundaries in Oncology – Transforming Cancer Care 2025"
54ta convención anual bajo el lema "Beyond the Boundaries in Oncology – Transforming Cancer Care 2025"
El evento reunió a especialistas y la comunidad médica para discutir los últimos avances en el tratamiento del cáncer, con especial énfasis en el abordaje multidisciplinario y las nuevas terapias para el mieloma múltiple.
El evento reunió a pacientes, familiares, profesionales de la salud y voluntarios, todos unidos por una misma causa: promover la detección temprana y apoyar a las mujeres en tratamiento.
La oncología avanza hacia ensayos clínicos más pequeños y dirigidos, gracias a la personalización de los tratamientos.
#MSP: El lugar donde médicos, pacientes y profesionales de la salud pueden entrar. #SomosCiencia
En Colombia, los pacientes con cáncer en la sangre enfrentan demoras de hasta 78 días para acceder a sus medicamentos, una crisis que en 2024 creció un 60% y ya provoca muertes evitables.
La joven inicialmente fue diagnosticada con anemia, pero en realidad padecía de algo mucho más grave.
#MSP: El lugar donde médicos, pacientes y profesionales de la salud pueden entrar. #SomosCiencia
Muchos pacientes con leucemia linfocítica crónica pueden vivir más de 10 años sin necesidad de tratamiento, siempre que no presenten síntomas clínicos graves ni mutaciones agresivas.
Esta enfermedad se origina en la médula ósea, pero también puede pasar rápidamente a la sangre.
Un enfoque más agresivo de tratamiento para linfoma marginal de bajo grado asociado a la enfermedad de Sjögren, podría mejorar las tasas de supervivencia y reducir recaídas.
Los síntomas del linfoma linfocítico pequeño (SLL) pueden ser leves, y muchos pacientes no experimentan ningún síntoma hasta una etapa avanzada de la enfermedad.
#MSPOncología | El linfoma no Hodgkin es el más común de los dos tipos, y aún se desconocen las causas de este linfoma. El linfoma no Hodgkin es el sexto cáncer más diagnosticado en los hombres y mujeres (2012 - 2016) en Puerto Rico.
Cuando estos pacientes experimentan una recaída, suelen manifestar síntomas como sudoración nocturna, fiebre y agrandamiento de los ganglios linfáticos.
Es este tipo de condiciones, los tratamientos aumentan la sobrevida, pero así mismo existen factores que afectan las terapias y la probabilidad de recuperación.
La inmunoterapia ha elevado la tasa de sobrevida en leucemia pediátrica de menos del 50 % en los años 60 y 70 a más del 90 % en la actualidad.
Los nuevos tratamientos y avances clínicos han permitido extender la vida de los pacientes que padecen estas condiciones. Sin embargo, un paciente con leucemia aguda, si no se trata de inmediato, tiene un índice de mortalidad del 100 %.
#InfografíaMSP La leucemia mieloide aguda representa el 1 % de los casos de cáncer en general, mientras que la crónica es del 15 - 20 % de todas las leucemias en adultos.
La terapia de células CAR-T, que utiliza células T modificadas genéticamente para atacar las células cancerosas, es uno de los avances para el tratamiento de la leucemia más efectivo.
Esta enfermedad es más frecuente en personas de edad avanzada, aunque puede ocurrir a cualquier edad.
#MSP: El lugar donde médicos, profesionales de la salud y pacientes pueden entrar. #MSPLíderesPioneros
Por sí solos, los sudores nocturnos no suelen deberse a un trastorno subyacente grave, pero si van acompañados de otros síntomas podría tratarse de leucemia.
Conoce junto al experto los criterios diagnósticos y de tratamiento para enfermedades como el linfoma y la leucemia
El Dr. Robert Hunter da a conocer los aspectos diagnósticos y terapéuticos más relevantes de esta condición.
#MSPHematología I La leucemia es un tipo de cáncer que afecta los glóbulos blancos y otros tipos de células sanguíneas.
#MSP: El lugar donde médicos, profesionales de la salud y pacientes pueden entrar.
Este tipo de cáncer en la sangre dura mucho tiempo en desarrollarse y tiene un componente inmune.
#MSP: El lugar donde médicos, profesionales de la salud y pacientes pueden entrar. #MSPLíderesPioneros
#MSP: El lugar donde médicos, profesionales de la salud y pacientes pueden entrar. #MSPLíderesPioneros
#MSP: El lugar donde médicos, profesionales de la salud y pacientes pueden entrar. #MSPLíderesPioneros #MSPLegadoQueInspira
Los últimos estudios sobre el diagnóstico y el tratamiento de las leucemias están abriendo nuevas puertas para la remisión.
Las leucemias agudas son un tipo de enfermedad agresiva que, en la mayor parte de las veces, requiere una evaluación para trasplante de médula ósea.
Actualmente hay tratamientos de inmunoterapia los cuales inhiben la proteína BCL2, encargada de evitar que la célula maligna muera.
#InfografíaMSP ¿Sabías qué la leucemia mieloide aguda puede cambiar con el tiempo, y los pacientes pueden experimentar recaídas después del tratamiento inicial?
#MSP: El lugar donde médicos, profesionales de la salud y pacientes pueden entrar. #MSPLíderesPioneros
Esta terapia combinada podría combatir la leucemia linfoblástica aguda de células B (LLA-B), el cáncer infantil más común en el mundo y podrá ser una estrategia efectiva con otros tipos de cáncer.
El linfoma de células del manto representa entre el 2 % y 5 % de todos los linfomas.
El linfoma de células del manto es uno de los 70 tipos diferentes de linfoma no Hodgkin que se han identificado.
#MSP: El lugar donde médicos, profesionales de la salud y pacientes pueden entrar.
¿Sabías qué la principal diferencia entre estos dos tipos de linfoma es que si se detecta la presencia de un tipo específico de células anormales llamadas "Células Reed-Sternberg" el linfoma se clasifica como no Hodgkin?
Hay diferentes tipos de linfomas dependiendo del tipo de célula linfática afectada. El linfoma tipo Hodgkin puede aparecer a cualquier edad, afecta más a hombres que mujeres y la mayoría se curarán completamente.
De acuerdo al diagnóstico del linfoma y su tipo, se podrá dar un mejor tratamiento y ampliar la opción de cura total.
#InfografíaMSP | ¡Día mundial del linfoma!
El #linfoma es uno de los tipos de #cáncer más comunes en todo el mundo y puede afectar a personas de todas las edades.
La segunda edición de la alianza Puerto Rico contra el Cáncer llevada a cabo entre la Revista MSP y el Hospital Auxilio Mutuo se desarrolló con éxito.
La llegada de la inmunoterapia marcó un antes y después en el manejo del linfoma.
Hoy en día, los pacientes que no han respondido efectivamente a los tratamientos convencionales tienen múltiples opciones para alcanzar la remisión.
La detección temprana y participación en centros especializados son cruciales para mejorar perspectivas de tratamiento.
La terapia implica la modificación de las células T del paciente para que expresen antígenos específicos dirigidos a las células malignas del linfoma.
La terapia celular es capaz de cambiar el curso natural de la enfermedad y el CAR T-cell therapy puede curar a cerca del 50% de los pacientes.
Gracias a los avances de diversa índole clínica y científica, es posible que pacientes con leucemia y linfoma puedan verse beneficiados en recuperación y efectividad de terapias.
Los resultados preliminares del fármaco experimental sugieren que ha salvado la vida de enfermos desahuciados.
Según los especialistas, varios ensayos clínicos están en marcha y han arrojado resultados muy positivos, especialmente en pacientes de alto riesgo.
#MSP: El lugar donde médicos, profesionales de la salud y pacientes pueden entrar. #MSPLíderesPioneros #MSPLegadoQueInspira
El estudio se centró en la combinación de un microARN supresor de tumores, miR-28, y el fármaco ibrutinib, un inhibidor de la proteína tirosina quinasa de Bruton.
#MSP: El lugar donde médicos, pacientes y profesionales de la salud pueden entrar. #SomosCiencia
Se están aplicando tratamientos personalizados enfocados en las alteraciones biológicas que muestran menos efectos secundarios y resultados sobresalientes.
Científicos crearon un algoritmo llamado EVOFLUx que analiza marcas químicas en el ADN (metilación fluctuante) y puede "leer" la historia completa de un cáncer, desde su origen hasta cómo evoluciona.
#MSP: El lugar donde médicos, pacientes y profesionales de la salud pueden entrar. #SomosCiencia
#MSP: El lugar donde médicos, pacientes y profesionales de la salud pueden entrar. #SomosCiencia
#MSP: El lugar donde médicos, pacientes y profesionales de la salud pueden entrar. #SomosCiencia
#MSP: El lugar donde médicos, pacientes y profesionales de la salud pueden entrar. #SomosCiencia
#MSP: El lugar donde médicos, pacientes y profesionales de la salud pueden entrar. #SomosCiencia
Investigadores han logrado identificar moléculas específicas en el aliento de pacientes con cáncer de sangre, particularmente linfoma de alto grado.
Según el Doctor Alexis Cruz Chacón, en el caso de los estadounidenses existe un 70% más de probabilidad de conseguir un donante en el registro.
Investigadores del CNIO desarrollan una revolucionaria prueba que analiza la respuesta inmunitaria del organismo en lugar de los marcadores tumorales tradicionales.
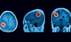
Según estudios, las personas que sufrieron algún traumatismo craneal, tienen casi cuatro veces más probabilidades de desarrollar un tumor cerebral
#MSP: El lugar donde médicos, pacientes y profesionales de la salud pueden entrar. #SomosCiencia
El cáncer colorrectal suele originarse a partir de pólipos en el revestimiento del colon, que pueden volverse malignos con el tiempo. Sus síntomas incluyen dolor en la parte baja del abdomen, presencia de sangre en las heces, diarrea o estreñimiento, y pérdida de peso sin causa aparente.
¿Sabías que es posible desarrollar cáncer de pulmón sin haber fumado nunca?
La inmunoterapia avanza y también su aplicación en oncología pediátrica. Conéctate ahora con la Dra. Deana Hallman y la Dra. Rocío Rivera, quienes comparten cómo se implementa esta alternativa en pacientes adultos y pediátricos, marcando un antes y un después en el manejo oncológico.
Solo el 20 % de los pacientes con cáncer de páncreas son elegibles para cirugía curativa, y la inmunoterapia aún no ofrece resultados efectivos debido a la resistencia celular del tumor.
#MSP: El lugar donde médicos, pacientes y profesionales de la salud pueden entrar. #SomosCiencia #MSPLíderesPioneros #MSPLegadoQueInspira
#MSP: El lugar donde médicos, pacientes y profesionales de la salud pueden entrar. #SomosCiencia #MSPLíderesPioneros #MSPLegadoQueInspira
#MSP: El lugar donde médicos, profesionales de la salud y pacientes pueden entrar. #SomosCiencia #MSPLíderesPioneros #MSPLegadoQueInspira
Más del 70% de los casos de cáncer colorrectal en América Latina se diagnostican en etapas avanzadas, lo que resalta la importancia de la detección temprana.
El cáncer de testículo es el tipo más común entre los hombres menores de 45 años, aunque en general es poco frecuente.
Estas nuevas terapias han demostrado tasas de respuesta significativamente mayores, en comparación con la quimioterapia tradicional.
El trasplante de médula ósea autólogo sigue siendo una de las mejores opciones para prolongar la estabilidad del paciente con mieloma múltiple.
#MSP: El lugar donde médicos, pacientes y profesionales de la salud pueden entrar. #SomosCiencia #MSPLíderesPioneros #MSPLegadoQueInspira
Los síntomas más comunes incluyen dolor óseo y anemia, pero también puede causar insuficiencia renal y problemas cardíacos.
Más del 70% de los casos de cáncer de pulmón en el mundo se diagnostican en etapas avanzadas, lo que reduce significativamente las posibilidades de remisión.
Esta imagen, que puede ser tomada por el médico en consulta o enviada directamente por el paciente a través de una aplicación.
La colonoscopia es el método de referencia para evaluar el colon y detectar cáncer colorrectal, la segunda causa de muerte por cáncer en EE. UU.
Al ofrecer una alternativa más efectiva que la quimioterapia tradicional, mejora la supervivencia libre de progresión, pero también ofrece una mayor tasa de respuesta objetiva, lo que se traduce en una mejor calidad de vida para los pacientes.
Experto explica cómo las mutaciones en la línea germinal pueden afectar la salud y qué implicaciones tienen para las generaciones futuras.
Estudios recientes cuestionan los supuestos beneficios del consumo moderado, especialmente de vino tinto.
El cáncer de mama y el cáncer de próstata son enfermedades que, detectadas a tiempo, pueden tener un pronóstico favorable. Esto requiere adoptar hábitos saludables, acudir a controles médicos regulares y romper los tabúes.
Aunque el mieloma múltiple no es una enfermedad común, representa aproximadamente el 10% de los cánceres hematológicos.
Puerto Rico registra más de 14,000 casos de cáncer al año. En el día mundial de la lucha contra el cáncer, expertos analizan avances en detección y tratamiento de los tipos más comunes en la isla
La colitis ulcerosa es uno de los dos tipos principales de enfermedad intestinal inflamatoria junto con la enfermedad de Crohn. A diferencia de la enfermedad de Crohn, que puede afectar cualquier parte del tubo digestivo, la colitis ulcerosa afecta característicamente al intestino grueso.
En el entorno hospitalario, estos profesionales brindan acompañamiento directo, ayudan a coordinar servicios médicos y facilitan el acceso a recursos financieros o de apoyo comunitario, entre otras cosas.
#MSP: El lugar donde médicos, profesionales de la salud y pacientes pueden entrar. #SomosCiencia
#MSP: El lugar donde médicos, profesionales de la salud y pacientes pueden entrar. #SomosCiencia
#MSP: El lugar donde médicos, profesionales de la salud y pacientes pueden entrar. #SomosCiencia
Este hallazgo no solo amplía el entendimiento sobre cómo evoluciona este tipo de cáncer, sino que también abre la puerta a posibles mejoras en su diagnóstico, tratamiento y pronóstico.
#MSP: El lugar donde médicos, profesionales de la salud y pacientes pueden entrar. #SomosCiencia
Medicina y Salud Pública
Medicina y Salud Pública


















