La localización y características del edema (como fóvea en casos cardi...
La localización y características del edema (como fóvea en casos cardi...
Los datos de la OMS revelan que 1.400 millones de adultos en el mundo ...
La tromboembolia pulmonar puede tener una mortalidad a corto plazo de ...
El sedentarismo, el sobrepeso, el tabaquismo y permanecer mucho tiempo...
Científicos desarrollaron un método de fabricación que genera células ...
El accidente cerebrovascular isquémico puede anunciarse días antes de ...
Un estudio publicado en la revista Circulation proyecta un incremento alarmante de hipertensión, diabetes y obesidad entre mujeres y niñas estadounidenses durante los próximos 25 años.
La pesadez y el cansancio en las piernas suelen ser los primeros signos de insuficiencia venosa crónica. Estos síntomas aparecen con mayor intensidad al final del día o después de pasar muchas horas de pie, y con frecuencia se acompañan de hinchazón progresiva.
Especialista explica qué es un infarto con elevación del segmento ST, por qué el tiempo de respuesta es determinante para salvar el músculo cardíaco y qué síntomas deben motivar una consulta inmediata.
Factores como presión alta no detectada, obesidad abdominal, inactividad física, tabaquismo y estrés crónico se combinan y elevan el riesgo cardiovascular en la mujer.
La TVP presenta edema unilateral súbito, enrojecimiento y dolor intenso con riesgo de embolia pulmonar mortal; mientras que la insuficiencia venosa genera pesadez crónica bilateral y dermatitis ocre violácea, molesta pero no letal inmediatamente.
La reducción del riesgo se observa cuando el ácido úrico se mantiene por debajo de 6 mg/dL, y es aún mayor en pacientes de alto riesgo cardiovascular al bajar a menos de 5 mg/dL, lo que exige monitoreo regular y ajuste progresivo de dosis.
El estrés, la depresión y la ansiedad activan mecanismos biológicos que elevan el cortisol y las catecolaminas, aumentando la presión arterial, la inflamación y el riesgo de aterosclerosis.
Estos síntomas no deben atribuirse a una sola condición: pueden ir desde factores mecánicos simples (calzado, posturas) hasta enfermedades como insuficiencia venosa crónica, neuropatías, diabetes no diagnosticada o trastornos circulatorios Por ello, requieren una evaluación clínica integral.
Esta condición en personas jóvenes, suele ser asintomática. Puede no presentar señales, pero el daño a órganos vitales ya está ocurriendo.
La hinchazón severa de las piernas y la aparición de líquido son una señal de falla en el retorno de la sangre al corazón, causada por válvulas venosas que dejan de funcionar correctamente.
#MSP: El lugar donde médicos, pacientes y profesionales de la salud pueden entrar. #SomosCiencia
La noche en la Unidad de Cuidados Intensivos no respiraba calma: respiraba tensión.
Estudios recientes revelan que el consumo moderado de café no solo es seguro para el sistema cardiovascular, sino que podría reducir significativamente el riesgo de enfermedades cardíacas.
La prevalencia de la hipertensión en la población pediátrica se sitúa entre el 1% y el 5%, experta advierte que, a diferencia de los adultos, las causas primarias de presión arterial alta en niños menores de 13 años están directamente relacionadas con problemas renales
Los pacientes diabéticos descontrolados desarrollan úlceras y gangrena que pueden llevar a amputaciones si no se diagnostican a tiempo.
El ACV es una emergencia médica causada por la interrupción del flujo sanguíneo al cerebro, ya sea por una obstrucción (isquémico) o por la ruptura de un vaso (hemorrágico).
#MSP: El lugar donde médicos, pacientes y profesionales de la salud pueden entrar. #SomosCiencia
Muchas bebidas energéticas contienen "cafeína oculta" y compuestos que potencian sus efectos, lo que incrementa el riesgo cardiovascular sin que la mayoría de consumidores, especialmente jóvenes sean conscientes de ello.
La detección inmediata del ACV es decisiva: cada minuto sin atención implica la pérdida de millones de neuronas, por lo que reconocer síntomas y activar el 911 marca la diferencia entre recuperación y discapacidad permanente.
El virus incrementa el riesgo cardiovascular y puede provocar complicaciones graves más allá de la neumonía, especialmente en población vulnerable.
Experta destaca que los paramédicos necesitan mayor capacitación para identificar síntomas y trasladar pacientes a centros especializados dentro de la ventana crítica de tiempo
Determinar si un paciente con stroke es candidato a trombolisis o trombectomía requiere precisión clínica y un manejo coordinado.
Expertos revelan que estos medicamentos pueden disminuir la aparición de enfermedades del corazón en la población femenina, aunque persisten dudas sobre su uso durante el embarazo y efectos secundarios específicos
Un estudio con más de 2.000 personas reveló que la grasa acumulada en el abdomen genera cambios cardíacos más graves que el exceso de peso distribuido en todo el cuerpo.
Experto revela los desafíos y avances en el tratamiento de accidentes cerebrovasculares en la isla, donde cada 45 segundos ocurre un caso en Estados Unidos y Puerto Rico enfrenta vacíos de información desde el huracán María.
#MSP: El lugar donde médicos, pacientes y profesionales de la salud pueden entrar. #SomosCiencia
#MSP: El lugar donde médicos, pacientes y profesionales de la salud pueden entrar. #SomosCiencia
Más del 50% de los hombres mayores de 40 años experimenta este trastorno, que los especialistas consideran un indicador temprano de enfermedades cardiovasculares.
Un programa pionero demuestra que los odontólogos pueden identificar enfermedades crónicas durante revisiones bucodentales, posicionando a la salud dental como pieza clave en la prevención cardiovascular
Las mujeres con hipertensión gestacional presentan un riesgo significativamente mayor de insuficiencia cardíaca, accidentes cerebrovasculares y enfermedad coronaria en los siguientes cinco años tras el parto.
Este defecto técnico podría impedir que el cuerpo absorba la cantidad correcta del medicamento, afectando su capacidad para reducir el colesterol LDL, aunque la FDA clasifica el retiro como de "Clase II", indicando un riesgo moderado y reversible.
Una investigación con más de 200.000 adultos reveló que quienes sufren molestias persistentes en varias partes del cuerpo tienen hasta un 75% más de probabilidades de desarrollar presión arterial alta.
Las úlceras varicosas son la manifestación visible de una insuficiencia venosa crónica: más del 80% de las úlceras en las piernas tienen su origen en varices y en la hipertensión venosa producida por válvulas que dejan de funcionar.
La inmunización antigripal disminuye los eventos cardiovasculares en un 34% durante el año posterior a su administración, mientras que la vacuna de la Covid-19 atenúa las complicaciones tromboembólicas
La cardióloga pediátrica Liana Negrón García advierte sobre el incremento alarmante de casos de presión alta en la población infantil y subraya que la prevención comienza en casa con cambios sustanciales en el estilo de vida de toda la familia
Un metaanálisis revela que el 6,5% de los niños y el 5,8% de las niñas padecen presión arterial alta, frente al 3% registrado a principios de siglo.
Un estudio revela que este anticonvulsivo para dolor crónico presenta mayores riesgos cardiovasculares que la gabapentina, especialmente en pacientes con historial cardíaco.
El infarto podría ser un indicador de enfermedad cerebrovascular, ya que el daño en los vasos sanguíneos puede afectar también al cerebro y favorecer el desarrollo de epilepsia.
El consumo excesivo daña los vasos sanguíneos, eleva la presión arterial y afecta la coagulación, lo que agrava el tamaño y la extensión del derrame.
La predisposición genética al colesterol alto, causada por variantes en el gen del receptor de LDL, puede aumentar el riesgo de enfermedades cardíacas incluso en personas con niveles normales de colesterol.
Un experto advierte sobre los signos poco visibles de esta patología vascular que puede llevar a complicaciones graves si no se detecta a tiempo.
#MSP: El lugar donde médicos, pacientes y profesionales de la salud pueden entrar. #SomosCiencia
A los 6 meses se observa una mejora significativa en la función cardíaca en el grupo tratado con células madre, aunque no se registran diferencias estadísticas en mortalidad general o por causas cardiovasculares.
El estudio, basado en más de 360.000 chequeos médicos, confirmó que cuanto menos alcohol se consume, menor es la presión arterial, tanto en hombres como en mujeres, sin importar el tipo de bebida.
El estrés puede influir en la aparición o ruptura de aneurismas cerebrales, ya que eleva la presión arterial y deteriora las arterias, además de estar asociado a hábitos poco saludables que aumentan el riesgo vascular.
#MSP: El lugar donde médicos, pacientes y profesionales de la salud pueden entrar. #SomosCiencia #MSPLíderesPioneros #MSPLegadoQueInspira
A pesar de su alta prevalencia, sólo el 12% de los adultos ha oído hablar del síndrome cardiovascular-renal-metabólico, una condición potencialmente mortal pero reversible que conecta el corazón, los riñones y el metabolismo
El doctor Burgos murió a causa de un aneurisma aórtico abdominal que se le había detectado hace tres años y que se rompió la noche anterior a su fallecimiento, horas después de haber realizado su última cirugía.
#MSP: El lugar donde médicos, pacientes y profesionales de la salud pueden entrar. #SomosCiencia
Aunque suele pasarse por alto, la hipotensión puede provocar desmayos, shock e incluso la muerte si no se atiende a tiempo.
El cable guía de alta tecnología que permite salvar extremidades afectadas por bloqueos arteriales. El dispositivo ya fue utilizado exitosamente en su primer procedimiento local con un paciente de 71 años.
Suspender la medicación sin indicación médica es altamente riesgoso, pues aumenta significativamente la probabilidad de apoplejía o recurrencia de trombosis, mientras que su uso reduce el riesgo anual de un 5% a cerca de un 1%.
Las enfermedades cardiovasculares son la primera causa de muerte en Puerto Rico y el mundo, con más de 20.5 millones de fallecimientos globales y más de 4.200 en la isla en 2025.
#MSP: El lugar donde médicos, pacientes y profesionales de la salud pueden entrar. #SomosCiencia
Un hombre que padecía presión arterial elevada desde los 30 años logró curarse completamente tras la extirpación de un feocromocitoma mediante técnica mínimamente invasiva.
El colesterol elevado desde la infancia duplica el riesgo de infarto. Las nuevas guías europeas 2025 insisten: diagnosticar y tratar a tiempo puede marcar la diferencia entre prevenir o sufrir un ataque cardíaco.
Investigaciones recientes sugieren que un consumo moderado (3 a 6 g diarios) podría ser más beneficioso que dietas muy bajas en sal, ya que la deficiencia también conlleva riesgos.
#MSP: El lugar donde médicos, pacientes y profesionales de la salud pueden entrar. #SomosCiencia #MSPLíderesPioneros #MSPLegadoQueInspira
Conocer los propios valores de presión arterial y mantener un seguimiento constante puede prevenir el desarrollo de complicaciones cardiovasculares graves.
#MSP: El lugar donde médicos, profesionales de la salud y pacientes pueden entrar. #SomosCiencia #MSPLegadoQueInspira #MSPLíderesPionero
Experto presentó los avances de una investigación que está transformando la comprensión del tratamiento de la hipertensión pulmonar en América Latina.
Aunque antes se consideraba un fenómeno sin importancia, hoy se sabe que puede aumentar el riesgo de hipertensión sostenida y enfermedades cardiovasculares.
En Puerto Rico, esta tecnología ya se encuentra disponible en el Hospital Auxilio Mutuo, en el Centro Cardiovascular de Puerto Rico y, próximamente, en el Hospital Damas.
Estudio revela que miles de mujeres sin factores de riesgo tradicionales enfrentan peligro cardiovascular elevado debido a la proteína C reactiva ultrasensible, un indicador que la medicina actual subestima.
El CIBERCV identificó que la hiperactivación de la vía biosintética de hexosaminas provoca acumulación anormal de azúcares complejos en la pared de la aorta, debilitándola y favoreciendo la formación de aneurismas.
Estudio revela que la depresión, esquizofrenia y otros problemas de salud mental aumentan entre un 50% y 100% las probabilidades de sufrir patologías del corazón.
La fibrilación atrial crece en Puerto Rico y ahora se trata incluso en pacientes sin síntomas por su vínculo con otras complicaciones de salud y su gran impacto en la calidad de vida.
Experto presenta el VARIPULSE, una tecnología de vanguardia que promete mayor efectividad en el tratamiento de la arritmia más común.
#MSP: El lugar donde médicos, pacientes y profesionales de la salud pueden entrar. #SomosCiencia
Esta guía revela las principales causas del dolor torácico izquierdo y cómo distinguir entre emergencias reales y molestias menores.
Las alarmantes cifras de esta "enfermedad silenciosa" pueden prevenirse con controles regulares y tratamiento adecuado.
#MSP: El lugar donde médicos, pacientes y profesionales de la salud pueden entrar. #SomosCiencia
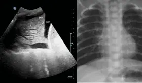
La hipertensión pulmonar, caracterizada por presión anormalmente alta en las arterias de los pulmones, requiere herramientas diagnósticas especializadas como el cateterismo cardíaco derecho para su confirmación.
Un estudio revela que esta creencia errónea retrasa la reanimación cardiopulmonar y causa muertes evitables en deportistas y víctimas de paro cardíaco.
#MSP: El lugar donde médicos, pacientes y profesionales de la salud pueden entrar. #SomosCiencia
Estudio revela que la grasa acumulada entre los músculos del muslo podría estar más asociada al riesgo de enfermedades cardiovasculares y metabólicas que la grasa abdominal.
#MSP: El lugar donde médicos, pacientes y profesionales de la salud pueden entrar. #SomosCiencia
Un estudio revela que el tejido cicatricial en el corazón se asocia con ritmos anormales peligrosos en ciclistas y triatletas masculinos mayores de 50 años.
Hasta el 70 % de las células espumosas en las placas arteriales no provienen de macrófagos, sino de células musculares lisas transformadas, cambiando la comprensión de esta enfermedad cardiovascular.
La insuficiencia cardíaca congestiva (ICC), conocida también como insuficiencia cardíaca, es una afección crónica en la que el corazón pierde la capacidad de bombear sangre de forma eficiente.
#MSP: El lugar donde médicos, pacientes y profesionales de la salud pueden entrar. #SomosCiencia
La insuficiencia venosa crónica no es una enfermedad potencialmente mortal por sí sola.
Los factores de riesgo incluyen inmovilidad prolongada (como en viajes largos o reposo en cama), deshidratación, trastornos de la coagulación, cáncer, uso de anticonceptivos orales, y condiciones como el COVID-19.
Medir los niveles de apolipoproteína B (apoB) en sangre permite una evaluación más precisa y específica del riesgo de enfermedades coronarias que las pruebas tradicionales basadas en colesterol LDL.
Diversos estudios observacionales y ensayos clínicos muestran que ciertas vacunas pueden reducir el riesgo de infarto y muerte cardiovascular.
#InfografíaMSP La presión arterial baja, se presenta cuando el flujo sanguíneo no logra abastecer bien a los órganos. Aunque a veces no causa síntomas, puede provocar mareos, debilidad o incluso desmayos, y en casos graves, afectar al corazón, cerebro o riñones.
Su composición está lejos de ser la ideal para una alimentación saludable, ya que están hechos de partes de muchos alimentos mezclados artificialmente, lo que engaña al sistema del gusto y la saciedad del cuerpo.
#InfografíaMSP Las várices no solo afectan las piernas. Son venas dilatadas por mala circulación que pueden aparecer en distintas partes del cuerpo, desde el esófago hasta los ojos, y cada tipo tiene sus particularidades clínicas.
#InfografíaMSP ?? El corazón y los riñones están más conectados de lo que parece. Cuando uno falla, puede desencadenar un deterioro en el otro, dando lugar al síndrome cardiorrenal. Esta interacción puede presentarse de forma aguda o crónica.
Hay un factor que protege a las mujeres cuando son jóvenes, que es el estrógeno. Luego de la menopausia, el estrógeno disminuye, esto se ha visto asociado a mayor incidencia de enfermedad cardiovascular.
Una nueva declaración científica de la Asociación Americana del Corazón (AHA) cuestiona la creencia sostenida por décadas sobre los supuestos beneficios del alcohol moderado para la salud del corazón.
El cortisol y la adrenalina mantenidos en niveles elevados deterioran progresivamente el endotelio vascular, creando un terreno fértil para la formación de coágulos y placas arteriales.
Conéctate con el Dr. Oscar quien, junto a dos expertos en salud del Hospital Universitario San Ignacio, discuten las principales alternativas para el manejo de las cuatro enfermedades cardiovasculares más frecuentes en Colombia.
La caída de estrógenos durante la menopausia es uno de los factores protectores que se pierde, y es cuando se iguala la prevalencia de enfermedades cardiovasculares en comparación con los hombres
La enfermedad cardiovascular tiende a presentarse más temprano en los hombres debido a la ausencia del efecto protector del estrógeno, lo que aumenta su riesgo de infarto o enfermedad coronaria antes que en las mujeres.
El colesterol LDL elevado es uno de los factores más determinantes en la aparición de enfermedades cardiovasculares, siendo responsable de un alto porcentaje de infartos, accidentes cerebrovasculares y otras condiciones graves.
La investigación mostró particularidades en la distribución de tipos de ACV: 50.7% isquémicos frente a 41.9% hemorrágicos.
La investigación revela que los trastornos de ansiedad y depresión afectan significativamente a los pacientes post-ACV en Puerto Rico, con un 71.67% mostrando sintomatología al ingreso.
Estrategias como el entrenamiento ventricular progresivo o nuevas técnicas reconstructivas, están permitiendo reconsiderar opciones anatómicas que antes se consideraban inviables.
La aterosclerosis es la acumulación de grasa dentro de las arterias, formando placas que obstruyen el flujo sanguíneo al corazón.
Medicina y Salud Pública
Medicina y Salud Pública


















