El diagnóstico de Crohn se confirmó por histopatología tras perforación yeyunal, en un cuadro atípico sin antecedentes gastrointestinales.

Se presenta el caso de un paciente masculino de 34 años, que sufrió una herida de bala en el abdomen como consecuencia de un bombardeo de artillería. El hecho ocurrió en un contexto de combate activo. En el sitio del incidente se le brindaron primeros auxilios y fue evacuado al punto de estabilización correspondiente al Rol 1 del sistema de atención médica militar.
Posteriormente, fue trasladado a un equipo quirúrgico avanzado donde se realizó una laparotomía de urgencia. La intervención reveló una herida penetrante que comprometía el intestino delgado y el colon ascendente, además de una fractura en la cresta ilíaca derecha y un hemoperitoneo de 800 ml.
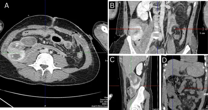
Se efectuaron suturas en las zonas lesionadas del tracto intestinal, empaquetamiento abdominal y formación de laparostomía. Cuatro horas después del evento, el paciente fue trasladado al hospital de Rol 4 del Ministerio de Defensa en Járkov, donde se completó su evaluación con exámenes de laboratorio y tomografía computarizada abdominal.
Durante los primeros días de hospitalización, el paciente fue sometido a múltiples procedimientos quirúrgicos. Al segundo día, se realizó una relaparotomía por sospecha de compromiso tisular. En esta revisión se identificaron signos necróticos en el ciego, el colon ascendente y los 70 cm distales del intestino delgado, lo cual llevó a una resección amplia con anastomosis ileoascendente y drenaje abdominal.
Al séptimo día postoperatorio se documentaron signos de peritonitis, lo que condujo a una nueva intervención. En esta ocasión se evidenciaron úlceras agudas por estrés y perforaciones en la anastomosis ileoascendente. Se procedió con la resección de la anastomosis, formación de una ileostomía, lavado peritoneal y colocación de un sistema de drenaje Abdovac. El paciente requirió transfusión de hemoderivados.
Relaparotomías programadas fueron necesarias los días 9, 12 y 15 tras la lesión, con el fin de realizar lavados y reemplazo del sistema de drenaje. La ileostomía fue reconstruida el día 21 debido a signos de isquemia intestinal.
Dos días después de la reconstrucción de la ileostomía, el paciente presentó signos de sangrado digestivo. La esofagogastroduodenoscopia reveló úlceras con patrón en empedrado característico de enfermedad de Crohn. Se inició tratamiento con sulfasalazina (3 g/día).
Los autores (Lurín) relatan que el día 25 se detectó una nueva perforación intestinal. En la cirugía se encontró una úlcera de 0,5 × 0,5 cm en el yeyuno, a 10 cm del ligamento de Treitz, con bordes regulares y sin sangrado activo. Se realizó su resección, cierre primario e intubación yeyunal. La laparostomía se mantuvo abierta debido al alto riesgo de recurrencia. La histopatología confirmó el diagnóstico de enfermedad de Crohn.
A pesar del manejo conservador y quirúrgico, el paciente presentó un deterioro progresivo. Hasta el día 40 post-lesión recibió cuidados intensivos. Falleció ese mismo día por síndrome de disfunción multiorgánica, insuficiencia respiratoria por neumonía e intoxicación sistémica grave.
Este caso clínico representa una inusual asociación entre una herida balística abdominal y la manifestación activa de una enfermedad de Crohn. Si bien no se documentaron antecedentes gastrointestinales previos, el desarrollo agudo de úlceras, perforaciones y signos histológicos compatibles con enfermedad inflamatoria intestinal sugiere una posible forma asintomática exacerbada por el trauma y el estrés postraumático.
El estrés relacionado con el combate ha sido identificado en la literatura como un desencadenante o factor agravante en enfermedades autoinmunes e inflamatorias, incluida la enfermedad de Crohn. Estudios previos también han descrito el impacto del PTSD en la inflamación intestinal, evidenciado por la elevación de marcadores inflamatorios sistémicos como la PCR y el TNF-a.
Adicionalmente, el retraso en la evacuación médica, debido a ataques a estructuras sanitarias y a dificultades logísticas en el contexto del conflicto, puede haber contribuido a la progresión desfavorable. La complejidad del cuadro clínico, sumado a los múltiples procedimientos quirúrgicos y al estado inflamatorio sistémico, probablemente aceleraron el deterioro multisistémico.