La tomografía evidenció ganglios mediastínicos con patrón anular y necrosis central. El diagnóstico de linfadenitis tuberculosa se confirmó por EBUS-PAAF y prueba molecular, sin compromiso pulmonar activo.

Una paciente de 55 años se presentó al hospital con un cuadro clínico insidioso de dos meses de evolución, caracterizado por tos seca, fiebre intermitente de predominio vespertino, pérdida de peso no intencionada y, en las últimas dos semanas, dolor torácico persistente.
Pese a la presencia de estos síntomas constitucionales, el examen físico no arrojó hallazgos relevantes y los signos vitales se mantenían dentro de parámetros normales.
Las pruebas de laboratorio iniciales revelaron marcadores inflamatorios elevados, como la velocidad de sedimentación globular (VSG) y la proteína C reactiva (PCR), mientras que el hemograma completo no mostró alteraciones significativas.
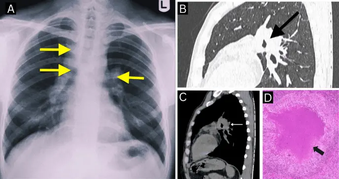
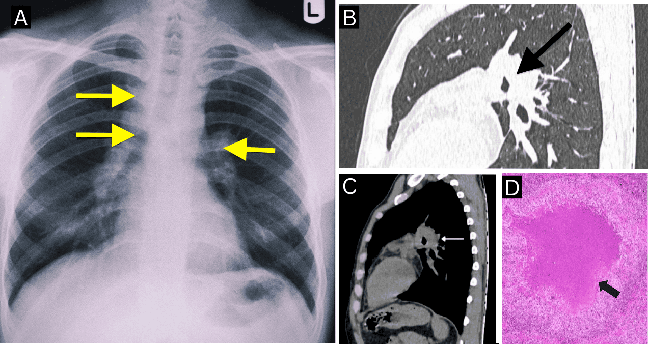
Una radiografía de tórax reveló prominencia hiliar bilateral y ensanchamiento del paratraqueal derecho. Con estos hallazgos, se procedió a realizar una tomografía computarizada (TC) de tórax, que evidenció adenopatías paratraqueales y subcarinales del lado derecho, con una configuración que llamó la atención del equipo médico: los ganglios linfáticos mostraban hipodensidad central con realce periférico, dispuestos de forma anular alrededor de la vía aérea. Este patrón, conocido como el signo de "Medu Vada", fue claramente identificado en la ventana mediastínica.
No se observaron lesiones cavitarias ni compromiso parenquimatoso pulmonar activo. Estos hallazgos orientaron el diagnóstico hacia una linfadenopatía mediastínica con necrosis central.
Ante la sospecha de linfadenitis tuberculosa, sarcoidosis o linfoma, se llevó a cabo una punción aspirativa con aguja fina (PAAF) guiada por ecografía endobronquial (EBUS), dirigida a un ganglio linfático subcarinal. El análisis histopatológico del aspirado confirmó la presencia de granulomas caseosos con necrosis, una característica clásica de la tuberculosis.
Aunque el frotis directo para bacilos acidorresistentes (BAAR) resultó negativo, la prueba molecular GeneXpert detectó la presencia de Mycobacterium tuberculosis sin resistencia a rifampicina. Así se estableció el diagnóstico definitivo de linfadenitis tuberculosa mediastínica con el signo de "Medu Vada".
La paciente inició tratamiento antituberculoso estándar (TTA), que consistió en una fase intensiva de dos meses con isoniazida, rifampicina, pirazinamida y etambutol (HRZE), seguida de una fase de continuación de cuatro meses con isoniazida, rifampicina y etambutol (HRE).
Durante el tratamiento, la evolución fue favorable. Al cabo de dos meses, se observó mejoría clínica, incluyendo aumento de peso. Al finalizar el esquema terapéutico, una nueva TC torácica mostró una reducción significativa del tamaño ganglionar y la desaparición del patrón anular, lo que confirmó la resolución de la linfadenitis.
Los autores (Sivagnaname et al) destacan que este caso resalta el valor diagnóstico del signo de "Medu Vada", una configuración radiológica anular provocada por ganglios linfáticos agrandados que circunscriben la vía aérea central.
En las tomografías, los ganglios afectados por tuberculosis pueden adoptar esta morfología, producto de la necrosis central con realce periférico y la disposición anatómica que recuerda a la forma del popular alimento del sur asiático.
A diferencia de la clásica "rosquilla", el Medu Vada tiene un contorno más irregular, lo cual lo convierte en una analogía más precisa para describir la imagen de ganglios linfáticos conglomerados y lobulados. Esta referencia cultural también ha demostrado ser útil para facilitar el aprendizaje entre profesionales de la salud, sobre todo en regiones endémicas de tuberculosis.
El signo de "Medu Vada" no solo tiene un valor descriptivo, sino también diferencial. A menudo se asocia con tuberculosis, mientras que otras entidades como la sarcoidosis tienden a producir linfadenopatías discretas y simétricas, y el linfoma suele manifestarse con masas homogéneas sin necrosis central ni encapsulamiento traqueal.
Cuando se reconoce esta configuración radiológica, especialmente en pacientes con síntomas sistémicos, se debe considerar a la tuberculosis como diagnóstico prioritario y proceder con estudios confirmatorios como la EBUS-FNA y las pruebas moleculares.