El hematoma comprimía la médula espinal y fue causado por sangrado arterial, no venoso, lo cual es poco común en estos casos.

Un hombre de 34 años, previamente sano y sin antecedentes quirúrgicos, acudió al servicio médico por presentar parestesias en el pie izquierdo de tres meses de evolución.
Durante la evaluación clínica, se identificó una alteración de la sensibilidad en ambos pies, con predominio dorsal, sin compromiso motor ni vesical. No se evidenciaron trastornos de la coagulación, diabetes ni uso previo de anticoagulantes.
La resonancia magnética (RM) reveló una lesión intradural extramedular, originada en la raíz nerviosa izquierda a nivel T8, que comprimía la médula espinal. Se indicó intervención quirúrgica, que consistió en una laminectomía subespinosa desde T7 hasta T9, seguida de abordaje intradural y extirpación de un tumor bilobulado gris-amarillento, adherido a la raíz nerviosa dorsal.
Se conservó un vaso radicular dorsal cercano a la masa tumoral. Tras la resección, se cerró la duramadre de forma convencional y se colocó un drenaje subfascial por gravedad sin succión activa.
El paciente mostró una evolución favorable durante los dos primeros días postoperatorios, con recuperación neurológica completa. Los drenajes mostraron un patrón esperable: 150 ml de sangre alterada el primer día, mezcla con líquido cefalorraquídeo (LCR) el segundo y drenaje claro el tercero.
No obstante, a las 72 horas de la cirugía, tras realizar movimientos voluntarios sin asistencia, el paciente presentó dolor punzante en la espalda con irradiación a las piernas, seguido de una rápida progresión de entumecimiento y parálisis en ambas extremidades inferiores. En cuestión de tres horas, evolucionó a paraplejia completa, con anestesia sensorial por debajo de T10.
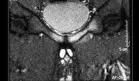
Ante la aparición de sangre fresca en el drenaje y el deterioro neurológico, se sospechó un hematoma extradural. Aunque la resonancia magnética no estuvo disponible por fallos técnicos, una tomografía computarizada con reconstrucción confirmó la presencia de un hematoma masivo (4,5 × 7 × 5 cm, aproximadamente 150 ml) en el sitio quirúrgico, con compresión significativa de la médula.
Se procedió a una reexploración quirúrgica urgente. Durante la intervención, se evidenció un hematoma brillante de origen arterial, con sangrado activo en dos puntos de los músculos paraespinales derechos, los cuales fueron controlados con coagulación. La médula se encontró indemne tras evacuar el hematoma y reabrir la duramadre, sin presencia de sangre en el espacio subdural.
Según relatan los autores (JKB Parthiban et al) Inmediatamente tras la descompresión, el paciente recuperó movilidad y sensibilidad en las piernas. Durante la semana siguiente, la fuerza motora alcanzó grado 4 en ambas extremidades inferiores, con parestesias leves residuales. La administración de metilprednisolona según el protocolo NASCIS-3 se mantuvo por 24 horas y se indicó movilización controlada.
El hematoma epidural espinal (HES) posoperatorio es una complicación infrecuente, con una incidencia estimada entre el 0,1 % y el 0,2 %. Su aparición tardía, como en este caso, es aún menos común.
La mayoría de los HES se detectan en las primeras 24 horas tras la intervención, pero series como la de Uribe et al. han documentado casos con aparición de síntomas neurológicos más allá del tercer día postoperatorio. En estos, el dolor agudo irradiado suele ser el primer signo clínico.
La literatura sugiere que el origen habitual del sangrado es venoso, especialmente a nivel del plexo de Batson. Sin embargo, en este caso se identificó una fuente arterial, procedente de ramas musculares paraespinales.
Se plantea que el esfuerzo físico del paciente, al girarse sin asistencia, pudo desencadenar la ruptura de estos vasos y provocar una hemorragia aguda. Esta hipótesis se apoya en la naturaleza brillante del hematoma y la rápida progresión del déficit neurológico.
La imagen diagnóstica ideal es la resonancia magnética, pero en contextos donde no está disponible, la tomografía computarizada con reconstrucción puede ser útil si existe un alto índice de sospecha clínica. La detección temprana y la descompresión quirúrgica en las primeras seis horas son determinantes para la recuperación neurológica, como se evidenció en este paciente.
El uso de drenajes por gravedad, como en este caso, puede ser menos efectivo que los sistemas de succión para evitar acumulaciones hemáticas. Asimismo, la observación continua del patrón de drenaje posquirúrgico puede ofrecer pistas tempranas ante complicaciones.