Una serie de casos clínicos revela el resurgimiento del escorbuto en pacientes vulnerables, mostrando presentaciones atípicas como hipertensión pulmonar, trastornos inflamatorios sistémicos y anemia.

El escorbuto es una enfermedad causada por una grave deficiencia de vitamina C, cuyos síntomas incluyen debilidad, anemia, encías inflamadas que sangran fácilmente, y la curación deficiente de heridas.
Una mujer de 76 años llegó al hospital luego de ser encontrada confundida en el aeropuerto de Newark tras un viaje de seis meses a la India.
Además de mostrarse paranoide y poco cooperativa, presentaba signos claros de desnutrición, incluyendo alopecia, atrofia muscular y deshidratación. Aunque estaba alerta y orientada, no pudo ofrecer una historia coherente sobre su condición. EMS informó desorientación y resistencia al cuestionamiento al momento del traslado.
Al ingreso, se detectó fibrilación auricular con respuesta ventricular rápida, acompañada de hiponatremia leve, hipopotasemia, anemia e infección urinaria.
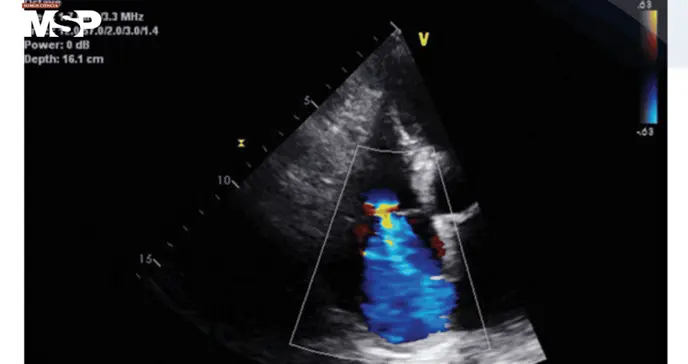
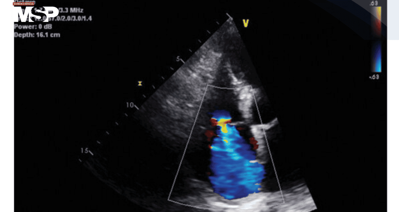
Los estudios iniciales descartaron patología intracraneal aguda, pero el ecocardiograma reveló hipertensión pulmonar, regurgitación tricuspídea severa, dilatación de la aurícula derecha y fracción de eyección preservada. En la piel se observaban petequias bilaterales en extremidades inferiores, junto a los signos marcados de malnutrición.
Ante la combinación de síntomas cardiopulmonares sin etiología clara, un cuadro neuropsiquiátrico agudo y signos dermatológicos compatibles, se consideró la posibilidad de escorbuto.
Los niveles séricos de vitamina C confirmaron la sospecha al encontrarse indetectables. La paciente inició suplementación intravenosa de ácido ascórbico, experimentando una mejoría progresiva de la disnea y del estado mental.
Tras ocho días de hospitalización fue dada de alta, aunque se perdió el seguimiento ambulatorio, lo que impidió demostrar ecocardiográficamente si la hipertensión pulmonar había revertido con la terapia.
Un hombre de 68 años con antecedentes de consumo diario de alcohol por tres décadas se presentó tras un episodio sincopal mientras hacía compras.
Refirió debilidad prolongada, fatiga y dolor en los pies, además de un acceso extremadamente limitado a alimentos. En el examen físico lucía caquéctico, con mucosas secas y mala dentición, aunque sin lesiones cutáneas, petequias ni sangrado gingival, lo que inicialmente dificultaba relacionar su condición con una deficiencia vitamínica severa.
Los estudios de laboratorio mostraron anemia aguda sobre crónica, trombocitopenia, leucocitosis, alteraciones electrolíticas significativas, lesión renal aguda y marcadores inflamatorios notablemente elevados.
A pesar de un extenso panel diagnóstico, no se identificó infección, enfermedad autoinmune ni causa metabólica alternativa. Debido al contexto de desnutrición profunda, se inició suplementación empírica de vitamina C, vitamina D y folato mientras se completaba el estudio nutricional. Posteriormente, los niveles de vitamina C confirmaron una deficiencia marcada.
Tras la suplementación, se observó una reducción progresiva de los marcadores inflamatorios, mejoría de los parámetros hematológicos y resolución de la leucocitosis, lo cual reforzó el papel contributivo de la deficiencia de vitamina C en su cuadro clínico.
Sin embargo, la ausencia de manifestaciones cutáneas clásicas sugiere que el escorbuto, en este caso, formaba parte de un síndrome multisistémico más complejo, influenciado por la malnutrición y el consumo crónico de alcohol.
Estos casos ilustran de acuerdo a (Mohammed Ayyad et al.,) cómo el escorbuto, históricamente asociado a navegantes y expediciones marítimas, continúa apareciendo en la práctica clínica moderna, especialmente entre personas con malnutrición, inseguridad alimentaria o trastornos por consumo de alcohol.
Las manifestaciones contemporáneas pueden ser engañosas: desde hipertensión pulmonar reversible hasta inflamación sistémica significativa, aun en ausencia de signos cutáneos típicos.
En la primera paciente, la profunda deficiencia de vitamina C ofrecía una explicación plausible para la hipertensión pulmonar en ausencia de otras causas estructurales o autoinmunes.
En el segundo caso, la mejoría de parámetros inflamatorios tras la suplementación sugiere que la vitamina C desempeñaba un papel modulador dentro de un proceso inflamatorio más amplio. Ambos casos subrayan la importancia de considerar esta deficiencia en pacientes con síntomas cardiopulmonares inexplicables, anemia o inflamación persistente dentro del contexto adecuado.
La evaluación nutricional temprana, junto con la suplementación empírica cuando existe sospecha fundada, puede ser diagnóstica y terapéutica, especialmente considerando el bajo costo, la seguridad y el potencial para revertir complicaciones graves.
Estos casos refuerzan la necesidad de integrar la valoración dietética y el riesgo nutricional dentro de la práctica clínica rutinaria para evitar pasar por alto deficiencias que, aunque antiguas, siguen teniendo plena vigencia clínica.