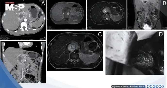
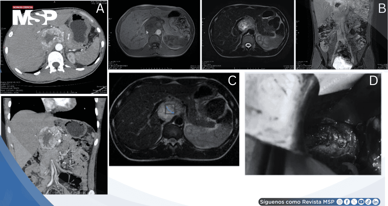
Se identificó una masa porto cava funcional de 7.2 cm entre la vena porta y la vena cava inferior, localización con apenas un caso previo reportado en la literatura.

El paciente masculino de 24 años consultó por un cuadro de un año de evolución caracterizado por cefaleas intensas refractarias a tratamiento convencional, palpitaciones, hipertensión arterial sostenida e hiperhidrosis generalizada.
Adicionalmente refería disfunción eréctil y disminución de la libido. Sus antecedentes incluían diabetes mellitus bien controlada con metformina y dieta, tabaquismo ocasional menor a un paquete-año, sin historia familiar relevante ni alergias conocidas.
El examen físico confirmó hipertensión significativa con cifras fluctuantes entre 160/90 y 190/100 mmHg, sugiriendo labilidad tensional característica de hipersecreción catecolaminérgica.
El abordaje inicial consideró tumores abdominales primarios incluyendo feocromocitoma suprarrenal, paraganglioma extra-adrenal y otras neoplasias adrenales funcionales. Se contempló también prolactinoma hipofisario para explicar los síntomas sexuales, descartado posteriormente por prolactina normal y ausencia de defectos visuales.
Los análisis revelaron normetanefrina en orina de 24 horas marcadamente elevada (5933 mcg/dl), hallazgo prácticamente confirmatorio de tumor productor de catecolaminas. El resto del perfil analítico, incluyendo hemograma, electrolitos, función renal, perfil tiroideo, prolactina, testosterona libre y análisis seminal, resultó completamente normal.
La ultrasonografía abdominal inicial identificó una lesión hipervascular iso-hipoecoica en el hilio hepático, con glándulas suprarrenales normales, orientando hacia origen extra-adrenal. La ecografía cervical no mostró alteraciones.
La tomografía computarizada contrastada demostró una masa bien definida de 7.2 × 6.5 × 5.4 cm, irregularmente esférica y heterogénea, con intenso realce arterial. Las imágenes axiales y coronales en fase arterial evidenciaron claramente su localización entre la vena porta y la vena cava inferior. Significativamente, no se observaron signos de invasión al lóbulo caudado hepático, páncreas, vena porta, vena cava inferior ni glándulas suprarrenales, hallazgos posteriormente confirmados quirúrgicamente.
La gammagrafía con metayodobencilguanidina marcada con yodo-123 arrojó un resultado falso negativo inesperado, sin captación significativa del radioisótopo. La explicación más plausible fue la interferencia del contraste yodado administrado en la tomografía realizada dos semanas antes. Una explicación alternativa menos probable serían mutaciones en el gen SDHB asociadas con paragangliomas agresivos, aunque esta hipótesis no concordaba con el comportamiento clínico localizado del tumor.
La resonancia magnética con gadolinio mostró la lesión iso-hipointensa en T1, iso-hiperintensa en T2 y secuencias con saturación grasa, con realce intenso y heterogéneo tras el contraste. No se evidenciaron adenopatías regionales ni signos de invasión.
La espectroscopía por resonancia magnética de protones, técnica que evalúa la composición metabólica tumoral, no demostró el pico singlete característico de succinato a 2.42 ppm. La ausencia de este marcador descartó mutaciones en genes de succinato deshidrogenasa asociadas con comportamiento tumoral agresivo.
El plan inicial contemplaba abordaje laparoscópico, pero la evaluación intraoperatoria determinó conversión a cirugía abierta considerando el tamaño tumoral, su localización compleja y las estructuras vasculares circundantes.
Durante el procedimiento se identificó la ubicación anatómica precisa: anterior a la vena cava inferior, con la vena porta anteromedialmente y el páncreas inferiormente. La exploración confirmó ausencia de invasión, permitiendo resección completa exitosa.
El análisis histopatológico definitivo confirmó paraganglioma extra-adrenal. La evolución postoperatoria transcurrió sin complicaciones. Los controles bioquímicos a los 3 y 6 meses mostraron normalización completa de normetanefrina urinaria, con normalización tensional que permitió suspender medicación antihipertensiva.
Se implementó un protocolo de vigilancia que incluyó mediciones de normetanefrina urinaria normales a las dos y cuatro semanas postoperatorias. El seguimiento a largo plazo comprende determinaciones trimestrales durante el primer año, luego semestrales por al menos 5 años, con monitorización tensional semanal el primer año y mensual posteriormente.
Este caso de acuerdo a Ghajar et al., ilustra una presentación extraordinariamente rara de paraganglioma funcional en localización portocava. La combinación de síntomas catecolaminérgicos clásicos con elevación marcada de normetanefrina urinaria orientó hacia tumor productor de catecolaminas, a pesar de la ubicación anatómica excepcional.
El resultado falso negativo de la gammagrafía con MIBG merece análisis especial. La interferencia por contraste yodado previo representa la explicación más plausible, dado que puede competir con la captación del radiofármaco. La alternativa de mutaciones SDHB fue descartada por ausencia del pico de succinato en espectroscopía y el comportamiento clínico favorable sin evidencia metastásica.
La rareza de esta localización puede generar confusión diagnóstica con otras lesiones abdominales malignas, particularmente tumores retroperitoneales. Sin embargo, la hipertensión en paciente joven con elevación catecolaminérgica debe motivar búsqueda exhaustiva de paragangliomas independientemente de la ubicación anatómica del hallazgo imagenológico.