La rápida intervención (angioplastia primaria) salvó miocardio y evitó complicaciones mayores. Sin embargo, desarrolló trombosis del stent meses después, requiriendo bypass.

Un hombre de 62 años con antecedentes de diabetes mellitus tipo 2 e hipertensión arterial acudió al servicio de urgencias por dolor torácico de una hora de evolución.
El paciente refirió que el dolor, de carácter subesternal, apareció de forma súbita mientras realizaba labores de jardinería. A su llegada al hospital, el dolor ya había cedido espontáneamente.
Los signos vitales iniciales fueron normales: presión arterial 120/80 mmHg, frecuencia cardíaca 67 lpm, frecuencia respiratoria 18 rpm y temperatura 36.9°C. El examen físico no reveló soplos cardíacos, roces pericárdicos ni alteraciones en la auscultación pulmonar.
Tras la conexión inmediata al monitor cardíaco, el electrocardiograma (ECG) inicial no mostró cambios agudos compatibles con isquemia o infarto. Sin embargo, durante el monitoreo continuo se observaron ondas T hiperagudas y elevaciones discretas del segmento ST en derivaciones anterolaterales.
Estos cambios electrocardiográficos, altamente sugestivos de isquemia miocárdica en evolución, persistieron apenas un minuto antes de desaparecer, con los siguientes tres ECG mostrando nuevamente un trazado normal.
A pesar de un resultado negativo de troponina inicial, la presencia de estos cambios transitorios motivó la consulta urgente al servicio de cardiología.

ECG inicial (arriba) y ECG repetido tras los cambios observados en el monitor cardíaco (abajo).
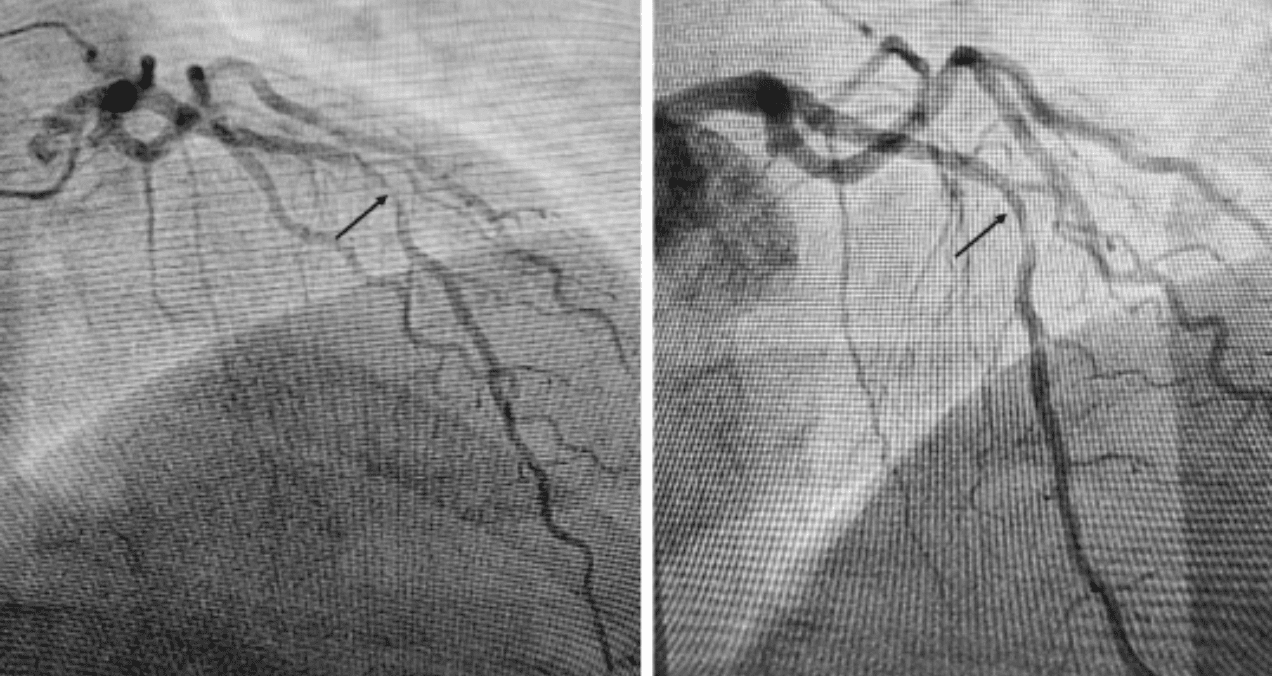
El paciente fue trasladado para cateterismo cardíaco urgente, donde se identificó una lesión crítica en la arteria descendente anterior (DAI), conocida coloquialmente como "la arteria asesina". Se realizó angioplastia con colocación de stent, logrando la revascularización exitosa del territorio afectado.
Durante el seguimiento, el paciente desarrolló trombosis del stent que requirió cirugía de revascularización coronaria (bypass) en 2023, tras lo cual evolucionó favorablemente sin necesidad de nuevas intervenciones.
Este caso (Duran-Melendez et al), ilustra la importancia del monitoreo electrocardiográfico continuo en pacientes con sospecha de síndrome coronario agudo, sobre todo cuando el ECG inicial no es diagnosticado.
Las guías actuales de la ACC/AHA recomiendan este abordaje en pacientes sin alteraciones basales del segmento ST, aunque su sensibilidad es inferior al ECG seriado tradicional. La naturaleza transitoria de los cambios isquémicos en este paciente subraya el desafío diagnóstico que representan las oclusiones coronarias intermitentes y la necesidad de mantener un alto índice de sospecha clínica.
Este reporte resalta varios aspectos críticos en el manejo del síndrome coronario agudo. En primer lugar, demuestra que los síntomas atípicos y los hallazgos electrocardiográficos fugaces no deben subestimarse, especialmente en pacientes con múltiples factores de riesgo cardiovascular.
En segundo lugar, el papel del monitoreo continuo es primordial como herramienta complementaria en servicios de urgencias bien equipados. La intervención temprana en este caso probablemente previno un infarto extenso del territorio de la DAI, salvando tanto miocardio como la vida del paciente.