La presencia de ascitis negra, un hallazgo inusual caracterizado por líquido abdominal oscuro con alta concentración de bilirrubina y amilasa, puede ser un marcador de necrosis pancreática severa y mal pronóstico.

Un hombre de 71 años sin antecedentes médicos relevantes acudió a un hospital por dolor abdominal agudo de inicio súbito. El paciente negó consumo de alcohol, infecciones virales recientes o vacunaciones.
Tras una evaluación inicial en un centro menor, la tomografía computarizada (TC) abdominal reveló la presencia de un cálculo en el conducto colédoco (conducto que transporta la bilis desde el hígado y la vesícula biliar hasta el intestino delgado), acompañado de elevación marcada de proteína C reactiva (PCR) y amilasa pancreática.
Estos hallazgos condujeron al diagnóstico de colangitis aguda y pancreatitis aguda grave de origen biliar, por lo que se realizó una colangiopancreatografía retrógrada endoscópica (CPRE) con extracción del cálculo.
Pese al procedimiento y a cuatro días de tratamiento antibiótico y fluidoterapia intravenosa, el dolor abdominal progresó, lo que motivó su traslado a un centro terciario. Al ingreso, el paciente presentaba insuficiencia respiratoria que requirió intubación orotraqueal y ventilación mecánica.
La exploración física inicial no mostró otros hallazgos relevantes, pero los exámenes complementarios revelaron un deterioro multisistémico.

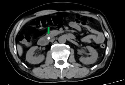
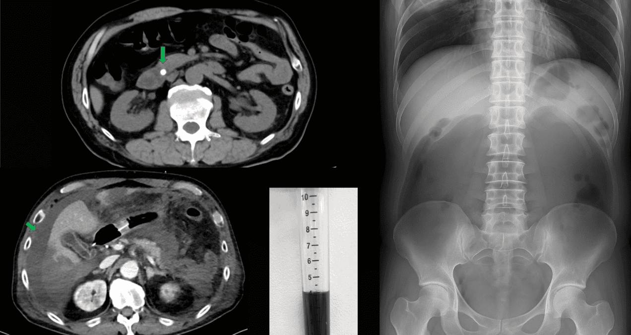
FIGURA 1: TC abdominal realizado en el hospital de referencia que demuestra un cálculo en el conducto biliar común (flecha verde) sin evidencia de ascitis. Foto: Caso Clínico - Kobori et al.
Los análisis evidenciaron leucocitosis (14.200/µL), anemia (hemoglobina 11.7 g/dL) y trombocitopenia (45.000/µL), junto con elevación dramática de enzimas hepáticas (AST 5,674 U/L, ALT 2,651 U/L) e hiperbilirrubinemia (6.5 mg/dL).
La disfunción pancreática se confirmó con amilasa sérica de 3,429 U/L, acompañada de hipoalbuminemia (1.9 g/dL), insuficiencia renal (creatinina 2.89 mg/dL) y alteraciones electrolíticas como hipocalcemia (3.9 mg/dL). La coagulopatía se manifestó con prolongación del tiempo de protrombina (13 segundos) y TTPA (39.3 segundos).
Ante el deterioro persistente, se inició hemodiafiltración continua por acidosis metabólica y fallo renal. Una nueva TC abdominal mostró ascitis leve (acumulación anormal de líquido en el abdomen) sin pseudoquistes pancreáticos.
Sin embargo, al tercer día de ingreso, la paracentesis reveló un hallazgo inusual: líquido ascítico de color negro, con elevación significativa de amilasa y bilirrubina.
A pesar del drenaje exitoso, el paciente desarrolló fallo multiorgánico irreversible, falleciendo al quinto día.

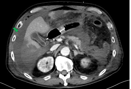
FIGURA 2: TAC abdominal al ingreso del hospital que muestra ascitis de nueva aparición (flecha verde) sin evidencia de pseudoquiste pancreático. Foto: Caso Clínico - Kobori et al.

FIGURA 3: Líquido ascítico negro. Foto: Caso Clínico - Kobori et al.
Este caso, descrito por el Dr. Toshimitsu Kobori del Centro Médico, es el primer reporte documentado de ascitis pancreática negra secundaria a pancreatitis aguda.
La coloración oscura del líquido, aunque rara, podría atribuirse a la presencia de productos de degradación hemorrágica y enzimas pancreáticas en un contexto de necrosis tisular masiva.
Los autores resaltan dos aspectos clave: primero, la importancia de considerar la paracentesis diagnóstica en pancreatitis agudas con inestabilidad hemodinámica persistente, ya que la ascitis puede ser un marcador de gravedad.
Segundo, cuando el drenaje no logra estabilizar al paciente, la colocación de un stent en el conducto pancreático podría ser una opción terapéutica paliativa, aunque en este caso no fue posible por la rápida progresión del fallo orgánico.
El desenlace fatal de este caso subraya la agresividad de las pancreatitis agudas graves, especialmente cuando se complican con disfunción multiorgánica. La ascitis negra emergió como un signo ominoso, reflejando probablemente la extensión de la necrosis pancreática y la respuesta inflamatoria sistémica.
Este reporte amplía el espectro de manifestaciones atípicas en pancreatitis y enfatiza la necesidad de vigilancia activa ante hallazgos inusuales. Futuras investigaciones deberán explorar si la coloración del líquido ascítico podría correlacionarse con el grado de necrosis o servir como predictor pronóstico.
Mientras tanto, el caso sirve como recordatorio de que, en pancreatitis graves, la intervención temprana y el manejo multidisciplinario son cruciales para mejorar los desenlaces.