La selección de estos agentes se sustentó en su cobertura complementaria: mientras el meropenem mostró actividad contra posibles patógenos gramnegativos aerobios, el metronidazol mantuvo su efectividad contra los anaerobios predominantes.

Una mujer joven de 24 años, sin antecedentes médicos relevantes, ingresó al servicio de urgencias con un cuadro progresivo de fiebre alta y cefalea intensa que se extendió por más de dos semanas. El caso adquirió especial relevancia al tratarse de una paciente que había dado a luz mediante cesárea 32 días antes del inicio de los síntomas.
Durante las 48 horas previas a su hospitalización, el cuadro se complicó con episodios repetidos de vómitos y un pico febril de 38.5°C, lo que alertó sobre la posible presencia de una infección sistémica grave.
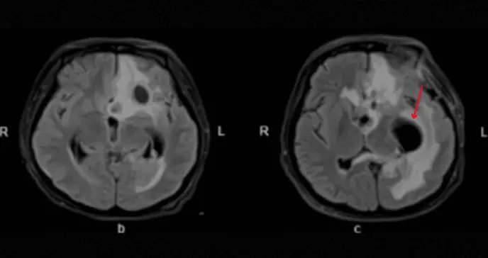
El equipo médico enfrentó un desafío diagnóstico complejo. La resonancia magnética cerebral reveló hallazgos preocupantes: múltiples lesiones con señal anormal en el lóbulo frontal izquierdo y en las astas ventriculares, compatibles con abscesos cerebrales multifocales.
La paciente presentaba un deterioro neurológico progresivo que culminó en estado comatoso, requiriendo intubación orotraqueal y traslado inmediato a la Unidad de Cuidados Intensivos. Los marcadores inflamatorios mostraban valores alarmantes, con un recuento leucocitario de 24.21 × 10?/L y una proteína C reactiva que superaba los 161 mg/L, indicativos de un proceso infeccioso severo.
La identificación del agente causal representó un punto crucial en el manejo del caso. Las técnicas convencionales de cultivo mostraron limitaciones iniciales, por lo que se implementó secuenciación genómica de nueva generación (mNGS) del líquido cefalorraquídeo.
Este abordaje innovador permitió detectar un consorcio de bacterias anaerobias típicas de la flora oral, destacando Porphyromonas gingivalis y Prevotella heparinolyticus como los patógenos predominantes.
Estos hallazgos sugirieron un origen odontogénico de la infección, posiblemente relacionado con abscesos gingivales no tratados que habrían diseminado por vía hematógena en el contexto postquirúrgico.
El manejo requirió un enfoque multidimensional. Se inició terapia antimicrobiana empírica de amplio espectro con meropenem y vancomicina, ajustándose posteriormente al agregar metronidazol para cubrir específicamente los anaerobios identificados.
La evolución tórpida del caso motivó la intervención del equipo de neurocirugía, quien realizó primero un drenaje ventricular por punción y posteriormente una craneotomía descompresiva con resección de los abscesos.
Durante el prolongado curso hospitalario, se enfrentaron múltiples complicaciones, incluyendo la aparición de infecciones nosocomiales por bacterias multirresistentes que requirieron la incorporación de polimixina B al esquema terapéutico.
La respuesta al tratamiento se evaluó mediante parámetros clínicos, de laboratorio e imagenológicos seriados. Los primeros signos de mejoría neurológica aparecieron alrededor del día 13, cuando la paciente comenzó a mostrar apertura ocular espontánea. La recuperación fue gradual pero constante, alcanzando a los 23 días la capacidad de seguir órdenes simples.
Las imágenes de resonancia magnética seriales demostraron una lenta pero progresiva reducción del tamaño de las lesiones abscesadas y de la inflamación meníngea asociada.
El curso hospitalario no estuvo exento de desafíos. El día 31 se detectó una neumonía nosocomial que obligó a reiniciar la vancomicina.
Simultáneamente, se mantuvo un estricto monitoreo de la función renal, ajustando las dosis de los antimicrobianos según los valores de creatinina, que fluctuaron entre 28 y 48.4 µmol/L durante todo el tratamiento. La necesidad de ventilación mecánica prolongada y drenaje ventricular externo reflejaron la gravedad del compromiso neurológico inicial.
Tras 45 días de hospitalización, la paciente logró la estabilización completa del cuadro infeccioso, permitiendo la suspensión de toda terapia antimicrobiana. Al momento del alta para rehabilitación especializada, persistían secuelas motoras leves, particularmente en las extremidades inferiores.
El seguimiento a tres meses mostró una recuperación funcional notable, con recuperación casi completa del lenguaje y mejoría sustancial en la movilidad. Este caso destaca la importancia de un abordaje agresivo y multidisciplinario en las infecciones del sistema nervioso central por anaerobios, así como el valor de las técnicas moleculares modernas en el diagnóstico microbiológico.
El esquema terapéutico basado en meropenem y metronidazol demostró eficacia clínica en este caso (Chunfang Tian et al). La selección de estos agentes se sustentó en su cobertura complementaria: mientras el meropenem mostró actividad contra posibles patógenos gramnegativos aerobios, el metronidazol mantuvo su efectividad contra los anaerobios predominantes.
Estudios farmacocinéticos previos validan este enfoque, destacando la importancia de mantener concentraciones terapéuticas adecuadas en el SNC mediante infusiones prolongadas y ajustes posológicos basados en monitorización terapéutica.
El manejo de los potenciales efectos neurotóxicos representó un aspecto crítico del tratamiento. Aunque el paciente presentó temblores durante la terapia con metronidazol, estos síntomas se resolvieron sin requerir la suspensión del fármaco.
Este fenómeno podría atribuirse a la condición neurológica subyacente más que a toxicidad medicamentosa, dado que los parámetros de dosificación se mantuvieron dentro de rangos seguros. Por otro lado, el meropenem demostró un perfil de seguridad favorable a pesar del uso prolongado, sin observarse eventos convulsivos durante las seis semanas de tratamiento.
El abordaje neuroquirúrgico temprano, incluyendo drenaje ventricular y craneotomía descompresiva, fue fundamental para el éxito terapéutico. Estas intervenciones no solo permitieron reducir la carga infecciosa y aliviar la hipertensión intracraneal, sino que también facilitaron la obtención de muestras para el diagnóstico microbiológico preciso.
La correlación entre el momento de las intervenciones y la mejoría clínica subraya la importancia de la coordinación entre los equipos médico y quirúrgico en el manejo de estas infecciones complejas.