Inicialmente se sospechó síndrome coronario agudo, pero la aparición de disfagia y odinofagia orientó hacia patología esofágica.

Una mujer de 59 años acudió a emergencias por dolor torácico retroesternal de inicio súbito, severo y compresivo, con irradiación al hemitórax izquierdo y espalda desde hacía 4 horas.
Entre sus antecedentes destacaban reemplazo de válvula mitral mecánica hace 19 años por cardiopatía reumática, hipotiroidismo y asma. Su tratamiento incluía warfarina 5 mg/día, ácido acetilsalicílico 80 mg/día, metoprolol, atorvastatina y levotiroxina.
Al ingreso presentaba signos vitales estables con presión arterial de 135/80 mmHg, frecuencia cardíaca de 95 lpm y saturación de oxígeno del 96%. La exploración física reveló cicatriz de esternotomía y el característico clic metálico de la prótesis valvular.
Los laboratorios mostraron hemoglobina de 12.8 g/dL, INR de 2.52 y enzimas cardíacas normales. El electrocardiograma evidenció fibrilación auricular con desviación inespecífica del ST.
Ante el dolor retroesternal con irradiación posterior, se consideraron inicialmente disección aórtica y síndrome coronario agudo.
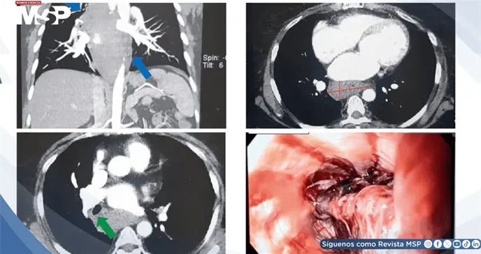
El electrocardiograma sin cambios isquémicos y las enzimas cardíacas normales descartaron infarto. La tomografía computarizada excluyó disección aórtica pero reveló una lesión de 52 mm en el margen esofágico y mediastino posterior.
A las 4 horas del ingreso, la paciente desarrolló odinofagia, disfagia y diaforesis fría, reorientando el diagnóstico hacia patología gastrointestinal superior. El estudio radiográfico con bario y la endoscopia gastrointestinal demostraron extensa hemorragia mural con formación de coágulos, confirmando el diagnóstico de hematoma esofágico intramural.
Se eligió tratamiento médico conservador. Se suspendieron warfarina y ácido acetilsalicílico, iniciándose líquidos intravenosos, inhibidores de bomba de protones y antibióticos. La hemoglobina descendió de 12.8 a 9.2 g/dL en 18 horas, considerándose sangrado mayor.
El caso planteó un dilema terapéutico significativo. La paciente portaba un tipo antiguo de válvula mecánica con alta trombogenicidad, requiriendo anticoagulación estricta para prevenir trombosis valvular. Sin embargo, era necesario revertir la anticoagulación para controlar el sangrado activo.
Se administró plasma fresco congelado inicialmente. Tras 48 horas, se inició infusión de heparina a dosis terapéutica. La disfagia mejoró progresivamente, permitiendo dieta blanda y líquidos. Al sexto día, la heparina no fraccionada se cambió a heparina de bajo peso molecular (1 mg/kg cada 12 horas).
La paciente permaneció asintomática y hemodinámicamente estable, tolerando dieta completa. La endoscopia de control mostró curación de la lesión. Fue dada de alta al día 14 con inhibidor de bomba de protones, metoprolol, levotiroxina y heparina de bajo peso molecular.
El hematoma esofágico intramural de acuerdo a Toktam Alirezaei et al., es una patología rara que puede imitar completamente el síndrome coronario agudo, representando un desafío diagnóstico en el servicio de emergencias.
Puede ocurrir espontáneamente o como complicación de procedimientos endoscópicos. Los factores predisponentes incluyen sexo femenino, coagulopatía, traumatismo torácico e ingestión de cuerpos extraños.
La historia clínica cuidadosa es fundamental. El antecedente de anticoagulación con warfarina, heparina o nuevos anticoagulantes orales coloca al paciente en alto riesgo de sangrado espontáneo.
Las características del dolor ayudan a diferenciar esta entidad: mientras el dolor isquémico típicamente irradia a brazos o mandíbula, el dolor esofágico suele asociarse con disfagia, odinofagia o hematemesis. La diaforesis es más común en patología coronaria.
Los hallazgos imagenológicos son reveladores. La tomografía computarizada puede mostrar engrosamiento de pared esofágica, irregularidades y estrechamiento luminal. La endoscopia esofágica es el estándar de oro, demostrando claramente la presencia, extensión y complicaciones del hematoma.
El tratamiento es generalmente conservador, incluyendo manejo del dolor, suspensión de anticoagulantes y corrección de anemia. Sin embargo, el diagnóstico erróneo puede conducir a terapias contradictorias como trombolisis o anticoagulación agresiva, empeorando la condición.
En pacientes con válvulas mecánicas, el desafío terapéutico es aún mayor, requiriendo balance cuidadoso entre control del sangrado y prevención de trombosis valvular.