Este caso ilustra los riesgos tromboembólicos asociados al uso de agentes estimulantes de eritropoyesis en pacientes con múltiples factores de riesgo.

Hombre de 61 años con enfermedad renal crónica estadio 3A desde 2019 y adenocarcinoma gástrico estadio IV diagnosticado en 2022. Había completado cuatro ciclos de quimioterapia FOLFOX con nivolumab y recibía eritropoyetina beta 10,000 UI semanales durante tres meses para anemia multifactorial, manteniendo hemoglobina entre 8.1 y 12 g/dL.
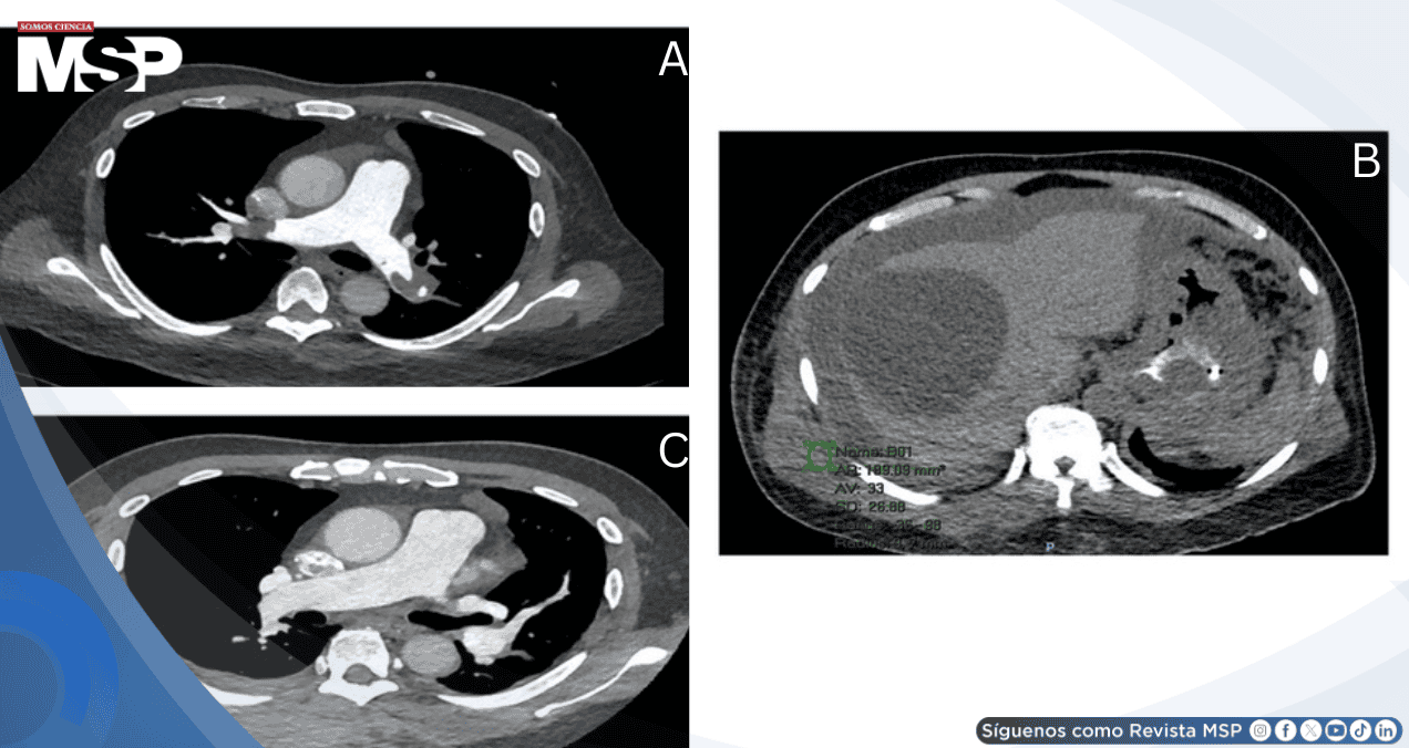
Acudió para su quinto ciclo de quimioterapia refiriendo tos seca nocturna y disnea de esfuerzo con respuesta mínima a antitusivos. El electrocardiograma mostró patrón S1Q3T3 y el ecocardiograma reveló ventrículo derecho dilatado con hipertensión pulmonar moderada. La puntuación de Wells indicó riesgo moderado. El ultrasonido demostró trombosis venosa profunda bilateral extensa y el dímero D estaba marcadamente elevado en 17,290.
Se inició enoxaparina, se suspendió la eritropoyetina y fue trasladado a cuidados progresivos. Al segundo día presentó desaturación hasta 88% e hipotensión de 80/60 mmHg requiriendo oxígeno suplementario y norepinefrina. La angiotomografía pulmonar confirmó embolia pulmonar en silla de montar.
Se cambió a heparina no fraccionada y se trasladó a cuidados intensivos donde recibió trombólisis con alteplasa 100 mg. El ecocardiograma de control mostró mejoría con normalización de la presión de arteria pulmonar de 52.4 a 26.5 mmHg y mejora del cambio fraccional del área de 17% a 28.4%. Se reinició enoxaparina, pero desarrolló hematoma inter e intramuscular en región superior derecha de la espalda, por lo que se suspendió temporalmente la anticoagulación.
Al quinto día se colocó filtro en vena cava inferior por la trombosis extensa de extremidades inferiores. La angiotomografía de control mostró regresión moderada a marcada de los émbolos pulmonares bilaterales. Pudo completar su ciclo 5 de quimioterapia y fue dado de alta al día 15 con enoxaparina 0.6 ml subcutánea dos veces al día, dado que su puntuación de Khorana era 3, indicando alto riesgo tromboembólico.
En el seguimiento completó 16 ciclos de FOLFOX más 13 sesiones de nivolumab. Ante progresión de la enfermedad, la quimioterapia se cambió a docetaxel, carboplatino y fluorouracilo. El paciente finalmente falleció por neumonía.
La embolia pulmonar en silla de montar representa el 2.6% al 5.4% de todos los casos agudos de embolia pulmonar de acuerdo a Abigayle Teresa R. Guiritan et al., y se caracteriza por un trombo en la bifurcación de la arteria pulmonar principal que puede conducir a colapso hemodinámico y muerte súbita.
La disnea en reposo o durante el esfuerzo constituye el síntoma más frecuente en pacientes con embolia pulmonar. Los predictores de peor pronóstico incluyen embolia pulmonar masiva, malignidad y enfermedad renal crónica. Estudios han demostrado que pacientes con embolia pulmonar y enfermedad renal crónica tienen mayor mortalidad comparado con aquellos con función renal normal.
Aunque algunos estudios reportan incremento en la incidencia de tromboembolismo venoso con el uso de eritropoyetina, revisiones sistemáticas y metaanálisis no han revelado diferencias estadísticamente significativas entre el uso de eritropoyetina y la incidencia de trombosis venosa profunda o embolia pulmonar. Sin embargo, la evidencia en pacientes oncológicos es más clara respecto al riesgo incrementado.
El manejo de embolia pulmonar de alto riesgo con inestabilidad hemodinámica requiere terapia de reperfusión primaria con trombolíticos sistémicos como heparina no fraccionada. La inestabilidad hemodinámica se maneja con vasopresores como norepinefrina que aumentan la presión arterial sin incrementar desproporcionadamente la resistencia vascular pulmonar. Los filtros de vena cava inferior se utilizan cuando existen contraindicaciones o complicaciones con la anticoagulación.
El paciente presentaba múltiples factores de riesgo para tromboembolismo venoso: enfermedad renal crónica estadio 3A, malignidad activa estadio IV, uso prolongado de eritropoyetina y puntuación de Khorana de 3, clasificándolo como alto riesgo. Este caso subraya la importancia de evaluar cuidadosamente el riesgo-beneficio del uso de agentes estimulantes de eritropoyesis en pacientes con múltiples factores de riesgo tromboembólico y mantener vigilancia estrecha durante su uso.