Dos mujeres desarrollaron esta condición días después de dar a luz, destacando la importancia del diagnóstico temprano en el período posparto.

Especialistas han documentado dos casos recientes de trombosis venosa ovárica de presentación tardía en mujeres que habían dado a luz recientemente, una complicación poco común pero seria que puede pasar desapercibida debido a sus síntomas inespecíficos.
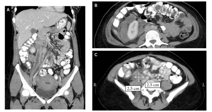
El primer caso involucró a una mujer de 26 años que desarrolló dolor severo en el flanco derecho 13 días después de un parto vaginal normal.
A pesar de presentar fiebre de 39.5°C y escalofríos, inicialmente fue tratada por una infección urinaria. Cuando los síntomas persistieron, una tomografía computarizada reveló una vena ovárica derecha trombosada de 8x5x5 centímetros.
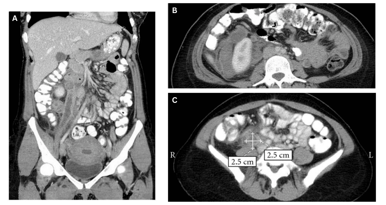
El segundo caso correspondió a una joven de 19 años que tres semanas después de una cesárea para gemelos desarrolló una masa abdominal del lado derecho y dolor abdominal. Los estudios de imagen mostraron estructuras tubulares dilatadas que se extendían desde la vena renal derecha hasta el ovario, midiendo 10x6x5 centímetros.
La trombosis venosa ovárica afecta únicamente al 0.05-0.18% de todos los embarazos, pero requiere diagnóstico y tratamiento inmediatos para prevenir complicaciones graves como sepsis o embolia pulmonar.
"La trombosis venosa ovárica puede presentarse de manera tardía y es difícil de diagnosticar, por lo tanto debe considerarse como diagnóstico diferencial en mujeres posparto con fiebre y masa pélvica sensible", señalan los especialistas en su reporte.
Los síntomas más comunes incluyen fiebre, dolor pélvico y una masa abdominal palpable. Sin embargo, estas manifestaciones pueden confundirse fácilmente con otras condiciones como apendicitis, endometritis o infecciones del tracto urinario.
La condición afecta predominantemente la vena ovárica derecha en el 80-90% de los casos, debido a factores anatómicos específicos y los cambios que ocurren durante el embarazo.
Durante el embarazo, las mujeres tienen cinco veces más probabilidades de sufrir eventos tromboembólicos. Esto se debe a la combinación de tres factores conocida como la "tríada de Virchow": hipercoagulabilidad de la sangre, estasis venosa y trauma endotelial.
Los cambios hormonales del embarazo aumentan los factores de coagulación y reducen las proteínas que previenen la formación de coágulos. Además, el útero agrandado puede comprimir las venas pélvicas, favoreciendo la formación de trombos.
La tomografía computarizada pélvica es el método diagnóstico de elección, con una sensibilidad del 100%, comparada con el 52% de la ecografía Doppler. Las imágenes muestran una vena agrandada con características específicas que permiten confirmar el diagnóstico.
El tratamiento incluye anticoagulación con heparina de bajo peso molecular y antibióticos apropiados. Ambas pacientes respondieron favorablemente al tratamiento y fueron dadas de alta sin complicaciones.
Según los investigadores, (Amos A. Akinbiyi, et al.), las complicaciones de esta condición pueden ser graves, incluyendo sepsis, extensión del trombo a otras venas importantes y embolia pulmonar, que ocurre en el 13.2% de los casos. La mortalidad asociada es menor al 5%, pero la mayoría de las muertes se deben a embolia pulmonar.
"Se requiere un alto índice de sospecha para el diagnóstico y manejo apropiado para evitar la mortalidad y morbilidad asociadas", concluyen los especialistas, enfatizando que aunque es rara, esta condición debe estar en el radar de los médicos que atienden mujeres en el período posparto.
El reporte enfatiza la importancia de considerar esta condición en mujeres que presentan síntomas persistentes después del parto, especialmente cuando el tratamiento inicial para otras condiciones no resulta efectivo.