Las manifestaciones clínicas de los pacientes dependen principalmente de la localización, el tamaño, la infiltración local y la presencia o ausencia de metástasis a distancia del tumor.

Un hombre de 47 años de edad se presentó en el centro médico con molestias en la parte media y superior del abdomen sin causa aparente. Seis días antes del ingreso, el paciente sufrió un síncope mientras caminaba, y aseguró no haber presentado mareos, convulsiones, incontinencia u otros síntomas; por lo que su recuperación se dio en segundos.
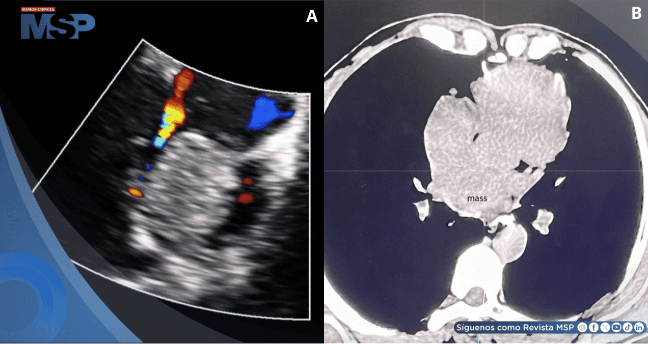
Se le realizó una ecografía cardíaca con color que reveló una masa de eco débil en la cavidad izquierda, sugiriendo un mixoma (tumor cardíaco benigno). En más estudios realizados en un centro de atención terciaria, se encontró hipoecogenicidad y dilatación en la aurícula izquierda, disminución de la distensibilidad del ventrículo izquierdo, insuficiencia aórtica leve y dilatación de la aorta y las arterias pulmonares.
En el último ingreso se le realizó un electrocardiograma que mostró un ritmo sinusal, taquicardia nodal no paroxística y desconexión auriculoventricular incompleta. La ecocardiografía transtorácica reveló una masa ecogénica anómala de 5 cm × 4 cm en la aurícula izquierda, adherida a la parte media del tabique auricular.
La ocupación de la aurícula izquierda provocaba compresión de la vena cava superior, y la pared ventricular izquierda presentaba un engrosamiento uniforme de 15 mm. El diagnóstico inicial fue mixoma del tabique auricular, cuyo movimiento podría provocar la obstrucción de la circulación sanguínea, por lo que se recomendó la intervención quirúrgica.
Al cuarto día de hospitalización, el paciente fue sometido a toracotomía mediante esternotomía mediana bajo anestesia general y circulación extracorpórea. Se realizó resección completa del tumor adherido al tabique auricular, reconstrucción del tabique e implantación de un cable de estimulación temporal. La masa, firme y encapsulada, se extendía desde la fosa oval hasta el techo de la aurícula izquierda.
El tumor fue enviado a estudio histopatológico e inmunohistoquímico. Se identificaron células dispuestas en nidos con patrón hemosinusoidal, compatibles con paraganglioma (tumor raro que se forma cerca de los vasos sanguíneos). La masa fue positiva para cromogranina, sinaptofisina y CD56 focal.
La recuperación postoperatoria fue favorable, sin complicaciones. Tres días después de la cirugía, los niveles de catecolaminas fueron normales, lo que sugiere extirpación completa del tumor. El inmunofenotipo incluyó: CD56(+), CgA(+), syn(+), Ki-67 ~3 %, y S100(+), entre otros. El paciente fue dado de alta en condición estable y, al año de seguimiento, no se observó recurrencia tumoral.
Los tumores cardíacos primarios, originados en el pericardio, el miocardio o el endocardio, son poco frecuentes y, en su mayoría, benignos. De estos, el mixoma es el más común, representando más del 50 % de los casos. Suelen manifestarse con síntomas como soplos cardíacos, palpitaciones y molestias torácicas, lo que dificulta su distinción de otras afecciones cardíacas.
En contraste, los paragangliomas cardíacos son extremadamente raros, representando menos del 1 % de todos los tumores cardíacos. Se trata de neoplasias neuroendocrinas no epiteliales, derivadas de la cresta neural y generalmente consideradas malignas. Estas lesiones pueden secretar catecolaminas, provocando síntomas como hipertensión, palpitaciones y sudoración, que suelen confundirse con ansiedad u otras condiciones cardiovasculares.
Cabe destacar que la mayoría de los tumores cardíacos no son primarios, sino metastásicos. Menos del 5 % corresponden a tumores primarios, lo que convierte al paraganglioma del tabique auricular en una entidad particularmente inusual y de difícil diagnóstico clínico.
Según los autores (Yu, et al), los paragangliomas intracardíacos se encuentran con mayor frecuencia en la aurícula izquierda y, con menor frecuencia, en el tabique auricular, el ventrículo izquierdo, la superficie anterior del corazón o el tracto de salida del ventrículo derecho.
Las manifestaciones clínicas de los pacientes dependen principalmente de la localización, el tamaño, la infiltración local y la presencia o ausencia de metástasis a distancia del tumor.
La disnea, el síntoma clínico más común, y el derrame pericárdico, la opresión torácica, la arritmia cardíaca, la insuficiencia cardíaca intratable y la embolia causadas por el desplazamiento del tumor, se diagnostican fácilmente de forma errónea debido a la falta de especificidad de las manifestaciones clínicas.
El diagnóstico definitivo de un tumor cardíaco solo puede confirmarse tras su resección quirúrgica; sin embargo, ciertas características clínicas, epidemiológicas y morfológicas permiten orientar el diagnóstico diferencial de las neoplasias cardíacas primarias.
Las herramientas de imagen cardiovascular multimodal, como la ecocardiografía, la tomografía computarizada y la resonancia magnética cardíaca, desempeñan un papel clave en la evaluación inicial. No obstante, su precisión puede verse limitada por las características del tumor y su localización anatómica.
En el caso específico de los paragangliomas cardíacos, la resección quirúrgica es el tratamiento de elección. Debido a su rica vascularización y proximidad a estructuras vitales, estas lesiones representan un reto quirúrgico considerable. Además, se requiere un seguimiento prolongado, ya que los paragangliomas pueden recurrir incluso años después de la cirugía inicial.