El deterioro reciente del rendimiento escolar y la evaluación inicial por TDAH enmascararon el diagnóstico de feocromocitoma, confirmado mediante elevación significativa de metanefrinas plasmáticas.

Un adolescente masculino de 14 años sin antecedentes médicos relevantes consulta por empeoramiento progresivo de cefalea en los últimos dos días.
Los síntomas iniciaron el día previo cuando regresaba del colegio, presentando dolor de cabeza que respondía parcialmente al ibuprofeno administrado por sus padres.
Al día siguiente desarrolló cefalea recurrente más intensa, acompañada de diaforesis profusa, rubicundez facial, visión borrosa, náuseas y mareos que preocuparon significativamente a la familia.
Los padres refieren un deterioro progresivo del rendimiento académico y conductual en los últimos meses, caracterizado por dificultades de concentración y comportamiento disruptivo en el aula, motivo por el cual se encontraba en proceso de evaluación por trastorno por déficit de atención e hiperactividad.
Adicionalmente, el paciente presenta dolor abdominal intermitente y deposiciones más blandas de varias semanas de evolución, sin asociar fiebre ni cambios ponderales significativos.
Entre los antecedentes familiares destacan migraña paterna, tiroiditis de Hashimoto materna con sospecha de neoplasia renal, y accidente cerebrovascular del abuelo materno a los 30 años.
Paciente de aspecto tóxico, ansioso y diaforético. Signos vitales revelan presión arterial de 190/110 mmHg, frecuencia cardíaca de 121 lpm y temperatura de 37.3°C. Peso 66.4 kg, talla 170 cm (percentil 84 de IMC).
El examen físico no muestra características dismórficas. Pupilas isocóricas reactivas sin fotofobia. Cuello sin adenopatías ni tiromegalia. Abdomen levemente sensible con ruidos normales. Desarrollo puberal Tanner III. Piel sin marcas de nacimiento ni alteraciones pigmentarias.
Los estudios básicos incluyendo electrolitos, función renal y hepática resultaron normales. La función tiroidea mostró TSH 3.20 mIU/L y T4 libre 1.22 ng/dL, dentro de rangos normales.
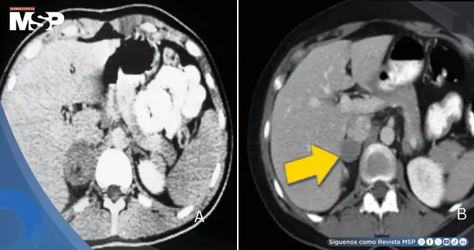
Los estudios específicos revelaron metanefrina plasmática de 4.03 nmol/L (normal <0.5) y normetanefrina de 3.78 nmol/L (normal <0.9), representando elevaciones superiores a ocho veces el límite normal, altamente sugestivas de feocromocitoma.
El diagnóstico de feocromocitoma se estableció definitivamente mediante la demostración de elevación marcada de metanefrinas plasmáticas, específicamente metanefrina y normetanefrina, ambas elevadas más de ocho veces por encima del valor de referencia.
Este hallazgo bioquímico, en conjunto con la presentación clínica característica de hipertensión severa, cefalea, diaforesis y síntomas neurovegetativos, confirma la presencia de un tumor productor de catecolaminas.
Los feocromocitomas son tumores neuroendocrinos raros de la médula suprarrenal que secretan catecolaminas. Tienen incidencia de un caso por 300,000 individuos, pero representan el 1.7% de hipertensión pediátrica.
La liberación intermitente de noradrenalina y adrenalina produce vasoconstricción, hipertensión fluctuante, taquicardia, ansiedad y diaforesis. Los episodios pueden ser desencadenados por estrés, ejercicio, medicamentos o alimentos.
Se requiere preparación médica 1-2 semanas antes de cirugía. Inicialmente se establece bloqueo alfa-adrenérgico con fenoxibenzamina o prazosina, comenzando con dosis bajas para evitar hipotensión ortostática.
Posteriormente se añade bloqueo beta para controlar taquicardia refleja. Es crucial nunca iniciar bloqueadores beta sin bloqueo alfa previo. Se recomienda expansión de volumen con carga salina antes de cirugía.
La adrenalectomía laparoscópica representa el tratamiento definitivo, requiriendo equipo experimentado para manejo perioperatorio. En tumores benignos, la cirugía es curativa. El manejo postoperatorio se enfoca en tratar hipotensión por cesación súbita de catecolaminas.
Este caso según el autor, Inas H. Thomas,. ilustra la importancia del reconocimiento temprano en población pediátrica evaluada por TDAH.
Los síntomas pueden confundirse fácilmente, retrasando el diagnóstico. Crítico es el riesgo de crisis adrenérgica fatal si se inician estimulantes en feocromocitoma no diagnosticado. La medición de presión arterial debe ser rutinaria en evaluación de TDAH pediátrico.
Entre 30-50% de feocromocitomas son hereditarios, asociados a síndrome de von Hippel-Lindau, neoplasia endocrina múltiple tipo 2, neurofibromatosis tipo 1, y síndromes de paraganglioma familiar. Todos los pacientes requieren evaluación genética y screening familiar.