La manifestación excepcional de esta neoplasia en un hombre quien desarrolló una masa escrotal de crecimiento lento que fue inicialmente interpretada como hidrocele durante dos años.

Un hombre de 64 años, previamente sano, consultó por una hinchazón escrotal de evolución lenta que había sido interpretada clínicamente como hidrocele durante aproximadamente dos años.
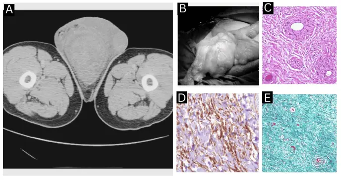
En el examen físico se evidenció una masa escrotal indolora, localizada entre ambos testículos, los cuales conservaban su volumen y consistencia habituales.
Los estudios de imagen iniciales, ecografía y tomografía computarizada, mostraron una tumoración escrotal difusa acompañada de edema y pequeñas colecciones líquidas, hallazgos poco específicos que reforzaban la impresión diagnóstica de hidrocele.
Ante la persistencia del cuadro y el crecimiento progresivo de la lesión, el paciente fue remitido para exploración quirúrgica.
Durante el procedimiento, se identificó una masa encapsulada de aspecto lipoquístico, de 7 × 11 × 19 cm y de 576 gramos de peso, adyacente a la uretra bulbar, sin compromiso de los testículos ni adherencia a estructuras vecinas, lo que permitió una resección completa relativamente sencilla.
El estudio histopatológico reveló un tumor paucicelular con áreas fibrosas y mixoides, compuesto por escasas células fusiformes sin atipia ni actividad mitótica.
Sumado a eso, se observaron abundantes vasos de paredes engrosadas inmersos en un estroma edematoso con presencia de fibras de colágeno. En la periferia, se identificaron restos de músculo esquelético.
En el análisis inmunohistoquímico, las células tumorales mostraron positividad para CD34, desmina y alfa-SMA, mientras que resultaron negativas para la proteína S-100. Estos hallazgos fueron compatibles con el diagnóstico de angiomixoma agresivo del escroto.
El paciente evolucionó favorablemente tras la cirugía y, durante tres años de seguimiento clínico e imagenológico, no se han evidenciado signos de recurrencia.
Según los investigadores, Roy Morag, et al., el angiomixoma agresivo fue descrito por primera vez por Steeper y Rosai en 1983, y desde entonces se han reportado poco más de un centenar de casos, de los cuales una minoría corresponde a pacientes masculinos. Su edad de presentación oscila entre los 13 y los 78 años, con una media de 46.
En varones, la localización más frecuente es el escroto, seguido del cordón espermático, el periné y, en menor proporción, órganos intrapélvicos como la vejiga.
Clínicamente, el AAM en hombres suele manifestarse como una masa escrotal indolora y de crecimiento lento, que con frecuencia es confundida con patologías más comunes como hidrocele o hernia inguinal.
Así mismo, se caracteriza por un estroma laxo y mixoide con abundantes vasos de paredes engrosadas y células fusiformes sin atipia. La inmunohistoquímica suele demostrar positividad para marcadores mesenquimales como vimentina, desmina, actina y CD34, y negatividad para proteína S-100, lo que ayuda a diferenciarlo de otras neoplasias mixoides como el angiomiofibroblastoma, el mixoma y el liposarcoma mixoide.
El tratamiento de elección es la resección quirúrgica amplia. Sin embargo, debido a su comportamiento localmente infiltrativo, las recurrencias es frecuente y puede presentarse en un rango que varía entre el 36% y el 72% de los casos, incluso muchos años después de la cirugía inicial.
Por ello, aunque la resección completa del tumor permitió un desenlace favorable sin recurrencia tras tres años de seguimiento. Se recomienda de igual forma, el control clínico e imagenológico prolongado continúa siendo esencial.