El diagnóstico se alcanzó sin necesidad de laparoscopia ni cistoscopia, gracias a los hallazgos imagenológicos.

Una mujer de 37 años acudió a consulta por dificultad para orinar, disuria (dolor o ardor al orinar), dolor suprapúbico y hematuria (presencia de sangre en la orina) intermitente que se prolongaban desde hacía aproximadamente un año. Adicionalmente, la paciente refería un historial de tres años con dismenorrea, menstruaciones irregulares, dispareunia y dolor pélvico persistente, sin relación clara con el ciclo menstrual.
En su historial médico destacaban una trombosis venosa profunda en la extremidad inferior izquierda, tratada hace siete años, e infecciones urinarias previas, una de ellas resistente al tratamiento convencional. En cuanto a tratamientos farmacológicos, la paciente había estado tomando warfarina desde el episodio de trombosis.
Los autores (Tawashi et al) destacan que su historial quirúrgico incluía una laparoscopia por infertilidad atribuida a adherencias, realizada siete años antes, así como una cesárea cinco años atrás tras una fecundación asistida por inyección intracitoplasmática de espermatozoides. No se encontraron antecedentes familiares ni psicosociales relevantes.
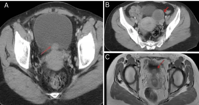
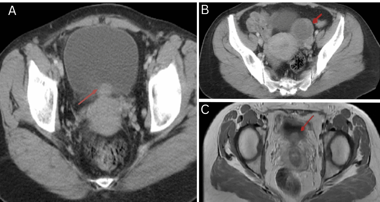
El análisis de orina mostró hematuria macroscópica persistente. La razón internacional normalizada (INR) fue de 2,5, y tanto el hemograma como las pruebas hepáticas y renales resultaron normales. La ecografía reveló una masa en la pared posterior de la vejiga, y una tomografía computarizada confirmó la presencia de una masa de 3 cm con extensión hacia el útero. También se identificó un quiste funcional de 5 cm en el ovario izquierdo.
Para una mejor caracterización de los hallazgos, se solicitó una resonancia magnética pélvica. Las imágenes mostraron un engrosamiento de la pared vesical posterior con múltiples espacios quísticos de alta señal en T2, así como cicatrices compatibles con la cesárea previa y adelgazamiento de la pared uterina. Aunque no se identificaron masas intrauterinas definidas, se observó un engrosamiento en la pared uterina posterior. Los ovarios tenían un tamaño y morfología conservados.
Con base en estos hallazgos, se consideraron múltiples diagnósticos diferenciales: neoplasia vesical, endometriosis vesical, fibroma uterino, sarcoma, o incluso la posibilidad de un cuerpo extraño. Aunque la cistopanedoscopia y la laparoscopia diagnóstica podrían haber ofrecido mayor claridad diagnóstica, se optó por un abordaje quirúrgico directo dada la solidez de la información clínica e imagenológica. El objetivo era reducir intervenciones innecesarias para la paciente.
Se obtuvo el consentimiento informado y se descartaron contraindicaciones médicas. Durante la intervención, realizada por un urólogo mediante incisión tipo Pfannenstiel, se evidenció una masa sólida adherida a la pared posterior de la vejiga, que fue completamente extirpada. No se reportaron complicaciones intraoperatorias.
La paciente fue dada de alta dos días después de la cirugía en condiciones clínicas estables. El estudio histopatológico confirmó el diagnóstico de endometriosis benigna. Durante el seguimiento, no se reportaron síntomas urinarios ni pélvicos, y las cistoscopias realizadas a los tres y seis meses postoperatorios fueron normales. A los dos años de seguimiento, la paciente no había presentado recurrencia.
La endometriosis se define como la presencia de tejido endometrial funcional fuera de la cavidad uterina. Se estima que afecta entre el 10 y el 20% de las mujeres en edad fértil, y suele localizarse con mayor frecuencia en los ovarios, ligamentos uterosacros, fondo de saco de Douglas y el tabique rectovaginal. La afectación del tracto urinario es rara y representa cerca del 1% de los casos, siendo la vejiga el sitio más común (alrededor del 84%).
La endometriosis vesical puede clasificarse en primaria o secundaria, esta última asociada a intervenciones quirúrgicas previas, como fue el caso de esta paciente. Sus síntomas pueden incluir dolor pélvico, hematuria, disuria y síntomas miccionales irritativos. Sin embargo, hasta el 60% de los casos pueden no presentar una asociación directa con el ciclo menstrual, lo que puede dificultar su diagnóstico.
Las pruebas de imagen, como la ecografía y la resonancia magnética, son herramientas clave para su identificación. La resonancia, en particular, es útil en casos de endometriosis infiltrativa profunda, como la vesical, dado su alto nivel de sensibilidad y especificidad. Aunque la laparoscopia continúa siendo el estándar de oro para el diagnóstico definitivo, en algunos casos bien caracterizados por imagen, puede prescindirse de esta.
El tratamiento puede incluir manejo médico (anticonceptivos, agonistas y antagonistas de GnRH, entre otros) o quirúrgico, dependiendo de la localización, severidad de los síntomas y deseo de fertilidad. Cuando hay afectación vesical significativa, se recomienda la resección quirúrgica completa, ya sea por vía laparoscópica o abierta.