La invasión linfovascular prominente y la presencia de metástasis en 13 de 22 ganglios linfáticos destacan la agresividad del carcinoma medular de colon en este caso.

Un hombre de 40 años, originario de Sri Lanka, acudió al servicio médico tras presentar durante un mes dolor abdominal persistente en el lado derecho, pérdida de apetito, pérdida de peso y episodios de melena. El paciente no refería antecedentes familiares de cáncer gastrointestinal. En el examen físico, se detectó una masa palpable en la fosa ilíaca derecha, acompañada de sensibilidad local.
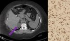
Los análisis iniciales evidenciaron una anemia microcítica hipocrómica significativa (hemoglobina 7,4 mg/dL, hematocrito 26%, VCM 67 mg/dL, HCM 19,5 mg/dL), sin alteraciones en los marcadores tumorales. Una tomografía computarizada de abdomen y pelvis mostró una masa irregular de 65×35×31 mm con densidad de tejido blando que comprometía el ciego y el colon ascendente proximal, además de múltiples ganglios linfáticos regionales aumentados de tamaño. La colonoscopia reveló una lesión cecal circunferencial, ulcero-proliferativa, de aspecto maligno. No se observaron metástasis a distancia en la tomografía de estadificación.
Inicialmente se programó una hemicolectomía derecha laparoscópica electiva, pero el paciente ingresó de forma urgente por un cuadro de obstrucción intestinal aguda. Se procedió a una intervención quirúrgica de urgencia, realizándose una hemicolectomía derecha laparoscópica con anastomosis ileocólica lateral. La evolución postoperatoria fue favorable y el paciente fue dado de alta al séptimo día sin complicaciones.
El estudio histopatológico confirmó la presencia de un carcinoma invasivo con patrón de crecimiento sincitial, denso infiltrado linfocítico del huésped y necrosis sucia, hallazgos característicos del carcinoma medular (CM) de colon. El tumor comprometía la grasa subserosa (pT4a) y se detectaron metástasis en 13 de 22 ganglios linfáticos (pN2b), con invasión linfovascular prominente. Los márgenes quirúrgicos se encontraban libres de tumor (resección R0).
Las pruebas inmunohistoquímicas evidenciaron pérdida de expresión nuclear de MSH2 y MSH6, con conservación de MLH1 y PMS2, patrón poco común, ya que la pérdida de MLH1 es más frecuente en este subtipo. Además, las células tumorales expresaban CK20 y SATB2, hallazgos compatibles con un origen colorrectal.
Como lo señalaron los autores (Al-Ishaq et al), a pesar de la morfología que recordaba a un tumor neuroendocrino, las tinciones para sinaptofisina, cromogranina y CD56 fueron negativas. En contraste con otros casos de CM, este tumor mostró expresión positiva de CDX2 y ausencia de mutación en BRAF (V600E).
El carcinoma medular colorrectal es un subtipo poco común de adenocarcinoma, con una incidencia estimada entre 0,3% y 3%, y habitualmente se presenta en mujeres mayores de 60 años. Este caso resulta atípico tanto por la edad del paciente como por su sexo, así como por el patrón inmunohistoquímico observado.
La presentación clínica también difirió de lo descrito en la literatura, ya que en este paciente predominó la obstrucción intestinal, mientras que la mayoría de los casos se manifiestan con dolor abdominal o hemorragia rectal.
Los CM se asocian típicamente con inestabilidad de microsatélites (MSI), hallazgo confirmado en este paciente mediante la pérdida de proteínas del sistema de reparación de emparejamientos erróneos. Este subtipo se caracteriza por una alta carga mutacional, respuesta inmune intensa y expresión de genes inmunorreguladores, lo que podría traducirse en un mejor pronóstico comparado con otros adenocarcinomas mal diferenciados, aunque en este caso la enfermedad presentó un comportamiento agresivo con invasión ganglionar extensa.
El diagnóstico definitivo de carcinoma medular requiere una evaluación histopatológica exhaustiva e inmunohistoquímica especializada, debido a su similitud morfológica con otros tumores, incluidos los neuroendocrinos. La documentación y el estudio de casos atípicos como este amplían la comprensión clínica y molecular del CM, y permiten afinar las estrategias terapéuticas para estos pacientes.